诡异!女子暴瘦10斤,腹部却迅速隆起,难道身怀怪胎?
*仅供医学专业人士阅读参考
跟随临床医生的思路来“断案”
踏实分步诊治是通往明确诊断的唯一道路。
大家好,今天给大家介绍的这则病例,医者的诊断思路不可谓不细密,抽丝剥茧最终查明病因。
话不多说,一起来看吧!
消瘦的身体,奇怪的隆起
日常妇科门诊,一如既往的门庭若市。
熙熙攘攘的人群中,一位消瘦的女子格外引人注意。
这是一位身材干瘪的中老年妇女,瘦的有点不正常,眉头紧紧皱着,时不时就站起来看一下医院叫号的屏幕,似乎特别焦急。
令人奇怪的是,她已经如此瘦弱,腹部却还隆起一块,使她整体看起来很不协调。
看起来约莫50多,这个年龄一般来说已经绝经了,而且脸上的神情也不像是怀孕,倒像是遇到什么诡异的事情。
究竟发生了什么?
病例初探,资料一览
她的名字叫张静(化名),51岁,已绝经。
一向健康的她最近体重暴减10斤,与之相反的是,肚子却大得飞快。
这下可把平时热爱灵异小说的她给吓坏了,总觉得自己肚子里怀了个吸食她精气的怪胎,最后在家人的建议下,惴惴不安地来到了医院。
病史:既往体健,个人史无特殊,生育史:1-0-1-1,顺产,否认异常妊娠史。家族史无异常。
主要表现:腹胀感明显伴纳差,时感乏力,无发热,无恶心呕吐,偶有便秘,无便血,无肉眼血尿。
妇科检查:平躺后发现,腹部微微隆起,腹盆腔内的肿物上缘可达脐平,子宫、附件区已无法正常触诊。
Q
从以上资料来看,考虑什么病?
思路分析:
从患者的主诉、体征和临床表现来看,恶性肿瘤的可能性不可忽视。 手术探查结合病理明确性质是外科医生最常用的诊治思路,并且可以指导术后进一步治疗方案。
但是有罕见病例报道,妊娠如足月女性因阴道流血就诊,竟是满子宫的葡萄胎!此时草率的手术探查可能就欲速则不达。
术前病史结合辅助检查的综合判断举足轻重。
立即预约了增强CT检查。
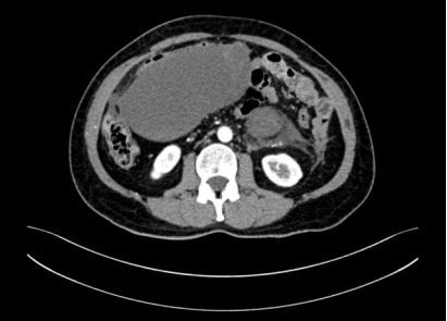
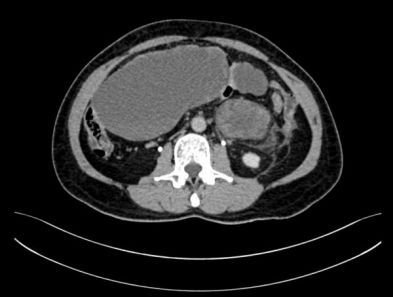
影像表现
腹盆腔巨大占位
腹盆腔内见巨大混杂密度影,形态欠规则,最大截面约91×206mm,增强后病灶内实性成分可见强化,囊性成分未见强化。后腹膜未见明显肿大淋巴结,盆腔内见少许积液。提示:腹盆腔内巨大占位。


图1:CT图像表现
Q
下一步应该怎么办?
思路分析:
如此巨大的腹盆腔占位,不管来源和良恶性如何,都需要收住入院。
本病例影像表现特点,葡萄胎不考虑。然而由于肿物在术前来源并不明确,即使妇科来源,若不排除恶性肿瘤,肿瘤侵犯周围组织,手术探查风险亦较高。术中应谨慎辨清肿物的边界及与周围组织的解剖位置关系,逐步分离探查。
排除禁忌,手术探查
患者入院后查血常规、凝血常规、肝肾脂功能、性激素未见明显异常,查肿瘤指标:
AFP:7.50ng/ml,CEA:1.44ng/ml,CA199:7.50 U/ml,CA125:72.40 U/ml(升高),CA153:8.90 U/ml,HE4:24pmol/L。
经多学科讨论后,排除手术禁忌,全麻下行剖腹探查:
术中见盆腔内少许淡血性腹水,抽取后行细胞学检查,腹盆腔见巨大肿物,探查来源于子宫体底部,与部分大网膜及肠管致密粘连,大网膜表面见散在病灶,肝、脾、膈肌表面光滑。
遂行全子宫及双附件切除术,肿物切面呈多叶状鱼肉样,切面部分实性,部分囊性,呈胶冻样,囊内见暗红色或灰黄色液体,见出血坏死。
术中冰冻快速:梭形细胞肿瘤,细胞轻-中度异型,不除外恶性病变,待常规石蜡和免疫组化进一步明确。
术中同时行大网膜病灶切除术。


图2:术中所见(上下滑动以查看全部)
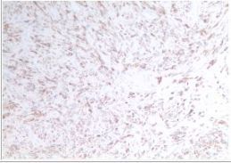
病理明确,真相大白
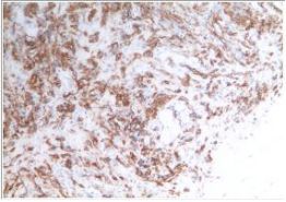
经HE染色及免疫组织化学检测,IHC:CD10(灶区+),Vimetin(+),ER(2+),PR(0),S-100(-),SMA(部分+),WT1(-),CD34(灶区+),Caldesmon(-),Des(+),Ki-67(1%+),CD117(-),Dog-1(-)。双侧附件未见特异性病变。腹水检查未查见异常细胞。

图3:HE

图4:Desmin

图5:SMA
Q
读到这里,想必你的诊断也出来了吧!那就长按下方二维码或者点击文末阅读原文链接看看自己的答案是否正确吧~
责任编辑:林零
*"医学界"力求所发表内容专业、可靠,但不对内容的准确性做出承诺;请相关各方在采用或以此作为决策依据时另行核查。
特别声明:以上内容(如有图片或视频亦包括在内)为自媒体平台“网易号”用户上传并发布,本平台仅提供信息存储服务。
Notice: The content above (including the pictures and videos if any) is uploaded and posted by a user of NetEase Hao, which is a social media platform and only provides information storage services.
相关知识
贾玲暴瘦100斤体脂仅10%?专家却说→
回顾55岁女子暴瘦20斤,欣喜重返苗条身材,去医院检查,医生:胰腺癌
女子120斤暴瘦至60斤骨瘦如柴,丈夫抽自身肠液救了她
160斤胖女孩,半年瘦62斤,分享了10个暴瘦的秘诀!
怀孕长多少斤正常
22岁女孩感冒后厌食暴瘦到40斤
明星减肥有多狠?任贤齐暴瘦34斤,张柏芝两月瘦50斤嫌太慢了
如何减掉60斤肉?165斤胖女孩,暴瘦60斤,她分享的10个暴瘦秘诀
女子狂呕半年暴瘦30斤 祸根原是头颅部长瘤
暴瘦后更容易长胖 盘点暴瘦的5大危害
网址: 诡异!女子暴瘦10斤,腹部却迅速隆起,难道身怀怪胎? https://www.trfsz.com/newsview1004634.html
推荐资讯
- 1发朋友圈对老公彻底失望的心情 12775
- 2BMI体重指数计算公式是什么 11235
- 3补肾吃什么 补肾最佳食物推荐 11199
- 4性生活姿势有哪些 盘点夫妻性 10428
- 5BMI正常值范围一般是多少? 10137
- 6在线基础代谢率(BMR)计算 9652
- 7一边做饭一边躁狂怎么办 9138
- 8从出汗看健康 出汗透露你的健 9063
- 9早上怎么喝水最健康? 8613
- 10五大原因危害女性健康 如何保 7828
