阴道超声操作方法及注意要点...
来源:即时超声
版权归原作者所有
编辑:女超人

阴式超声探头位置示意图
1.阴超最大的难度是方向问题,要非常清楚探头的位置和方向,以探头上标向上纵切子宫:左为腹侧,右为背侧,近场为宫颈,远场为宫底。
子宫前后位的判断主要看宫底是靠近腹侧(前位)还是背侧(后位),如果纵切时图象怎么打也是个横切的图象,那子宫就是水平位,因为子宫与声束平行,这时要左或右侧偏一点,使声束方向改变。探头横切时,主要看探头在盆腔的位置,因为阴超视野较小。探头偏向左显示的就是左侧盆腔,反之亦然。如果习惯了阴超的方向,其实和经腹部看一个道理,慢慢体会就行。

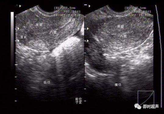
A显示阴超纵切,子宫呈前倾/前屈,并在监视器上显示。图像由声束进入人体后旋转90度而得。声束顶端(狭窄部分)在探头表面,经90度旋转后出现在图像的上方。腹部超声和阴超都可显示前腹壁(a)。B 横切前倾/前屈的子宫,图像见上。由探头逆时针旋转90度而得。同样由声束进入人体后旋转90度而得。子宫右侧(r)出现在图像左侧。
2.我们只在避孕套头部里面加耦合剂或/和阴道探头头端涂以耦合剂就可以,考虑到通常用的耦合剂问题(并非无菌,曾见过未用的耦合剂瓶中生霉),我们不在避孕套外面加耦合剂。
3.要当着被检查者的面打开避孕套包装,不要在探头上套好了避孕套后,才叫被检查者进来,以免不必要的麻烦。
4.如果是男医生,最好要求有个女护士陪你做,然后也教她一下操作,首先的预备工作和放探头都可以由她来做。或者要有本院女职工在场。这样病人也容易接受,你也免得麻烦,有些女病人是很反感男医生做这个(尤其是男朋友在场时),解释工作一定要做好。再者阴超室的光线一定要暗,最好是黑乎乎的(自己配个小台灯照明),这样可以消除病人紧张心理。如果是独立的房间门要反锁好,以防其他人意外撞入,否则病人会很火的。
5.要戴手套!这对病人和医生双方都有利。
对病人,医生戴手套可做到无菌操作;对医生,因病人病史不明,需提高警惕。(这原因书上没说,我总结的。我相信我说的大家都不会反对吧。给新手提个醒,不要忘了戴手套!)
6.如果刚开始做不熟练,有句话很有作用,可缓解尴尬,我开始就是这么搞的,可以叫病人不排尿先经腹看看盆腔或者在做完后说子宫位置太高(前屈厉害,不要和病人说行话)要求病人涨尿再看看,把话说清楚,一般病人不会反感。然后在报告里写明"经腹和阴道联合扫查所见(后面写报告内容)"。这也是主任教我的一招,补充一下阴超书上正规说法是"如果包块子宫显示不满意,或包块太大可经腹联合扫查"。
7.如果病人子宫屈得厉害(后倾后屈或前倾前屈)图像显示不全或不清,可以叫病人双手握拳把臀部垫高点。我采取的是在病人臀部垫枕头(1~2个),这样病人没那么辛苦,可坚持久一点。
如果熟悉了阴超,你会爱上阴超的。阴超对盆腔细微结构的显示很清楚,看子宫内膜、早孕、宫外孕,卵巢、卵泡,是经腹无法比拟的。不过,看位置高的和大的病变经腹有优势,再者经腹视野广,两者互有所长。
书上没提到的两点小技巧
1.当扫查卵巢有困难时怎么办?
一般卵巢位于子宫角的两侧,沿着子宫外部推进探头是寻找的关键,实在难找时,可以经腹部大致了解卵巢位置,再去经过阴道寻找。通常前位子宫就把探头插入后穹隆,后位子宫时就把探头插入前穹隆;病人会有点痛苦,不过能把不易显示的卵巢很好的显示出来。很多时候卵巢在子宫周围,一般往两边侧动后扫查,有时在宫颈两旁就能见到,有时在宫体两旁或后方.

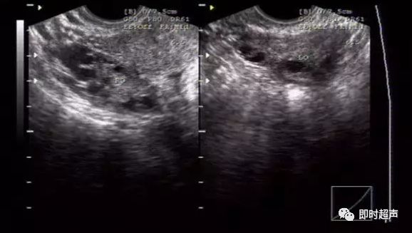
双侧卵巢的显示,与腹式超声比较,内部结构明显清晰。图片上可见数个未成熟卵泡。

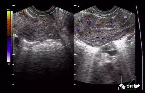
正常子宫及宫颈血流图
2.疑宫外孕时顺着子宫两侧的丰富的索状动脉血流(输卵管所在)去寻找,又快又准。
阴道超声探头方位图口诀
1.探头拿法左上 纵切
2.逆时针90度旋转 横切
3.寻找卵巢方法 子宫角的两侧 沿着子宫外部推进探头是寻找的关键
4.探头扫查方法 头到足 足到头 头足换位 前后换位

足到头

头到足
本文由“健康号”用户上传、授权发布,以上内容(含文字、图片、视频)不代表健康界立场。“健康号”系信息发布平台,仅提供信息存储服务,如有转载、侵权等任何问题,请联系健康界(jkh@hmkx.cn)处理。
相关知识
阴道超声操作方法及注意要点...
超声波加工工艺,加工工序,操作要点及注意事项
宫腔内手术操作实时超声监测要点
使用超声波清洗机要注意几个要点
常用拔罐法的操作要点及注意事项
前列腺按摩的操作方法及要点
细菌性阴道炎要注意哪些 治疗霉菌性阴道炎的注意事项
三棱针疗法的操作方法及注意事项
超声波清洗需要注意的一些问题
超声法瘦脸 手术需要注意什么?
网址: 阴道超声操作方法及注意要点... https://www.trfsz.com/newsview1135063.html
推荐资讯
- 1发朋友圈对老公彻底失望的心情 12775
- 2BMI体重指数计算公式是什么 11235
- 3补肾吃什么 补肾最佳食物推荐 11199
- 4性生活姿势有哪些 盘点夫妻性 10428
- 5BMI正常值范围一般是多少? 10137
- 6在线基础代谢率(BMR)计算 9652
- 7一边做饭一边躁狂怎么办 9138
- 8从出汗看健康 出汗透露你的健 9063
- 9早上怎么喝水最健康? 8613
- 10五大原因危害女性健康 如何保 7828
