患者突发背部疼痛,查了一圈居然是肿瘤,医生感叹:怎么跑过去的?
早查房:患者 47 岁男性,因突发严重下背部疼痛,随后双下肢无力入院。
神经系统查体:双下肢肌力 0 级,T10 平面以下温痛觉消失。发病 6h 后,脊柱 MRI 无明显异常,但 72h 后出现异常表现如图 1。补充脑脊液检查无异常。
经过治疗症状有缓解,但 15 个月后患者双下肢肌力仍为 0 级,且双下肢的麻木和刺痛感逐渐加重,复查脊柱 MRI 如图 2。
考虑什么诊断?

神经胶质瘤?
脊髓梗死(前脊髓动脉综合征)?
中年男性,突发起病,疼痛截瘫,首先定位脊髓,影像学证实腰髓为主的髓内病变,并且可以强化,可惜没有轴位图像。脊髓梗死一般不会完全横贯损害。硬脊膜动静脉瘘,自身免疫性如MOGAD等,副肿瘤综合征都不排除。遗传代谢性疾病不考虑。
9:30
急性背部疼痛后迅速出现横贯性脊髓损害表现可能的急性脊髓病变:脊髓出血,梗死,血管畸形,脊髓炎都有可能患者症状持续甚至加重,15 个月仍然肌力 0 级,感觉异常加重,考虑病因不是自限性疾病,脑脊液排出了脱髓鞘和感染类可能。
结合病程慢性进展,后续核磁脊髓病变范围长节段,异常增强信号,脊髓血管病可能大,考虑 DAVF
脊髓梗死,SDAVF可能
脊髓水肿伴异常血管强化,考虑脊髓动静脉畸形或动静脉瘘,外科治疗,介入或手术
@所有人 公布答案:
入院 72h 时的 MRI 提示:T9-T10 高信号病变及线状软脑膜强化。结合脑脊液检查无异常,初步诊断为:脊髓梗死。
针对脊髓梗死,主要对患者进行 5 个月的抗凝和抗血小板药物治疗,患者症状有所缓解。但这次入院 15 个月后,患者的双下肢肌力仍为 0 级、双下肢的麻木和刺痛感逐渐加重,说明前一次的诊断和治疗都不到位。
15 个月后这次脊髓 MRI 显示:T10 水平蛛网膜下腔有一个强化的结节状病变,压迫邻近脊髓。
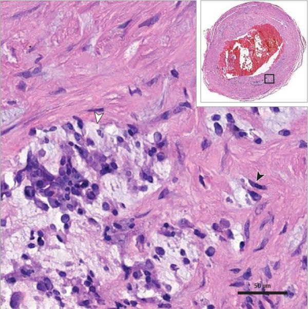
考虑到患者心房黏液瘤的病史,接诊医生还是决定对患者的脊髓进行一次手术。术中发现脊髓萎缩以及一个肿块附着在瘤样扩张的脊髓前动脉表面。病理结果显示:血管外黏液瘤组织,血管腔内黏液瘤样增生(如图)。因此确诊为:心房黏液瘤引起的脊髓梗死和转移。
与心脏黏液瘤相关的神经系统并发症很常见,并且可能作为首发症状出现,包括脑栓塞、动脉瘤、颅内出血和转移。
黏液瘤栓子可以阻塞血管并浸润血管壁,随后导致动脉瘤的形成,或者促使转移病灶的生长。脊髓前动脉扩张的病理与颅内动脉瘤相似。
不过像本例患者这种,心房黏液瘤引起的脊髓梗死和转移,还是十分罕见的。

相关知识
患肿瘤的狗狗怎么护理(狗狗肿瘤引发的疼痛,该怎么去缓解?)
肿瘤患者疼痛管理
背部突然疼痛的原因
癌症的背部疼痛特点是怎样
腰腿痛=腰椎间盘突出?也可能是椎管肿瘤!
胃肿瘤患者应该怎么样去饮食呢
突然消瘦,后背偶有阵痛是什么病?
关于右肩背疼痛是怎么回事的问题
女性大腿根部突然疼痛怎么回事
胸背部不定时疼痛
网址: 患者突发背部疼痛,查了一圈居然是肿瘤,医生感叹:怎么跑过去的? https://www.trfsz.com/newsview1181903.html
推荐资讯
- 1发朋友圈对老公彻底失望的心情 12775
- 2BMI体重指数计算公式是什么 11235
- 3补肾吃什么 补肾最佳食物推荐 11199
- 4性生活姿势有哪些 盘点夫妻性 10428
- 5BMI正常值范围一般是多少? 10137
- 6在线基础代谢率(BMR)计算 9652
- 7一边做饭一边躁狂怎么办 9138
- 8从出汗看健康 出汗透露你的健 9063
- 9早上怎么喝水最健康? 8613
- 10五大原因危害女性健康 如何保 7828
