19 岁男子突发腹痛,一看 CT 倒吸一口冷气,密密麻麻
丁香园病例库
经过同行推荐,精选超过 5 万篇来自临床真实经验、汇聚精华点评的真实病例,供更多的医生朋友学习讨论、临床借鉴。
丁香园影像核医学版主 @程先进 分享的这个猎奇病例,引起近 5 万站友关注和热议。
患者男,19 岁,突然「恶心、呕吐、腹痛」急诊入院。
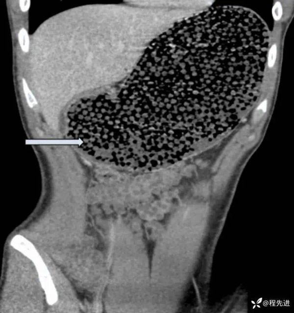
CT 影像显示如下:

看到影像后,接诊医生倒吸一口冷气!胃内密密麻麻被填满了,男子究竟是吃了什么?
此帖已有 5 万同行围观,大部分站友都以为男子是食用了过量的珍珠奶茶。丁香园站友 @六等星与弧光灯 做了详细猜测:
胃极度扩张,圆形颗粒状,数量大,和空气混杂,形态规则。
首先,这个东西不易消化;其次,不溶于水和酸;一次性吞服这么多,口感应该还得满足不那么难以下咽,寄生虫感染也不太可能,胃酸环境很难有寄生虫存活。上几楼说的珍珠奶茶已经被排除。
可能性 1:大胆假设病人是修道爱好者,这是吃下去的丹药。
可能性 2:病人因为某些其他疾病服用了大量的药丸。
可能性 3:异食癖,吃下去的橡胶,塑料,甚至煤炭,钻石之类。
可能性 4:患者误食了某些食物的不可食用部分,比如果核,外壳。
可能性 5:患者食用了某些昆虫,比如蚕蛹…...等待揭晓。
你有答案了吗?到底吃了什么?
相关知识
19 岁男子突发腹痛,一看 CT 倒吸一口冷气,密密麻麻
女子肠道里密密麻麻全是……痛不欲生!医生:不能这么吃啊
手掌中密密麻麻都是细纹称为干扰线也叫障碍线,反映近期身体状况(满手掌都是密密麻麻的水泡怎么办)
站着身体一半发麻一半没事怎么办
刚刚突然站着坐着全身发麻无力头晕气喘难
男子带伤切猪肉感染猪链球菌长满瘀斑:全身密密麻麻的瘀点瘀斑
女,35岁。腹痛,腹部肿块伴发热1周,不孕症10年(原发),查:T38.5℃,消瘦,心肺(
药品说明书密密麻麻?让“适老化”离老年人更近一点
大椎拔出水泡密密麻麻的好多小水泡=其它的地方挺好=要...
月子手指发麻怎么办 月子手指发麻的原因
网址: 19 岁男子突发腹痛,一看 CT 倒吸一口冷气,密密麻麻 https://www.trfsz.com/newsview1222927.html
推荐资讯
- 1发朋友圈对老公彻底失望的心情 12775
- 2BMI体重指数计算公式是什么 11235
- 3补肾吃什么 补肾最佳食物推荐 11199
- 4性生活姿势有哪些 盘点夫妻性 10428
- 5BMI正常值范围一般是多少? 10137
- 6在线基础代谢率(BMR)计算 9652
- 7一边做饭一边躁狂怎么办 9138
- 8从出汗看健康 出汗透露你的健 9063
- 9早上怎么喝水最健康? 8613
- 10五大原因危害女性健康 如何保 7828
