让 36 岁女性险些丧命的胸痛,你绝对没有见过
丁香园病例库
经过同行推荐,精选超过 6 万篇来自临床真实经验、汇聚同行评议的真实病例,供更多的医生朋友学习讨论、临床借鉴。
比如丁香园荣誉版主 @路飞变身 分享的这篇少见病例,就在丁香园病例库引发热议。
患者因左季肋区疼痛 5 小时来诊,自诉向左侧肩部放射,无吐泻,无发热,无咳嗽。用力呼吸疼痛加剧。否认外伤。
查体:T 36.4℃,P 86 次/分,R 18 次/分,BP 135/76 mmHg,SpO₂ 100%。神志清,自主体位,查体合作,心肺听诊无异常,腹部平坦,质软,肝脾肋下未及,肝区肾区无叩击痛,四肢肌力肌张力正常。
实验室检查:血常规:WBC 8.35×10⁹/L,N 77.21%,Hb 124g/L,PLT 193×10⁹/L。生化:肝肾功能、心肌酶谱未见异常。
患者在等待生化结果时夜班医生接收,给予了解痉,抑酸等对症支持治疗。
次日患者至消化内科门诊就诊,此时患者查体提示巩膜无黄染,结膜无苍白,全腹压痛,轻度反跳痛,肝脾肋下未及。
消化内科建议胃肠外科会诊,因有腹膜炎体征,收入院观察。
此时患者已持续腹痛 20 小时,仍剧烈,向左侧肩背部放射。
入院后出现血压降低至 91/60 mmhg,心率 120 次/分,查体腹肌柔韧,左侧上腹部及右侧下腹部压痛。轻反跳痛。左侧上腹部疼痛明显。
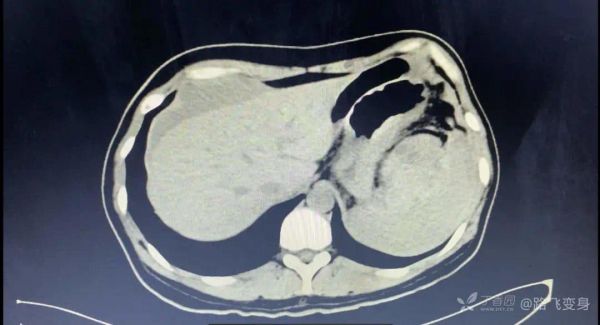
病人出现「休克」症状,没有办法只有准备手术,术前常规行全腹部 CT 检查,如下:




CT 发现明显异常。可以和下面第一次急诊 CT 视频做对比。
这时候你看出问题了吗?猜猜诊断?
丁香园站友 @旧故里草木生 认为:两张片子对比,最明显的改变是脾脏周围有异常混杂密度影,肝周积液,又是个育龄期女性,大胆猜测脾脏异位妊娠导致的破裂。
丁香园站友 @zhangzihua87 认为:腹腔出血伴休克是没有疑问的。第一次 CT 脾门附近可疑软组织密度,第二次 CT 肝周积液,脾门软组织密度增大、不均,考虑破裂。一般考虑脾门血管瘤破裂。与妇科手术有关的话,大胆推测子宫内膜异位破裂。
大胆猜测,你的诊断是什么?国内报道极少!老司机也直呼少见。
(丁香园社区内容仅供参考讨论,具体病例请以临床为准)
相关知识
让 36 岁女性险些丧命的胸痛,你绝对没有见过
“网红药”别乱吃!23岁女孩险些丧命
女命带丧门的好坏处 化解丧门最简单的方法
23岁女孩吃网红药意识混乱险丧命
36岁绝经了还能调回来吗?
16岁少女因节食险丧命!医生揭示夏季减肥隐藏的健康危机
女性如何维护胸部健康 哪些食物具有丰胸效果
女性快要绝经时,身体会有4个提示,过了50岁不妨对照看看
绝经了却不显老 可能和女性5个好习惯有关
“你去照照镜子……”男友一句话,36岁女子抽脂减肥后差点没命
网址: 让 36 岁女性险些丧命的胸痛,你绝对没有见过 https://www.trfsz.com/newsview1868156.html
推荐资讯
- 1发朋友圈对老公彻底失望的心情 12775
- 2BMI体重指数计算公式是什么 11235
- 3补肾吃什么 补肾最佳食物推荐 11199
- 4性生活姿势有哪些 盘点夫妻性 10428
- 5BMI正常值范围一般是多少? 10137
- 6在线基础代谢率(BMR)计算 9652
- 7一边做饭一边躁狂怎么办 9138
- 8从出汗看健康 出汗透露你的健 9063
- 9早上怎么喝水最健康? 8613
- 10五大原因危害女性健康 如何保 7828
