内镜治疗食管憩室,微创“小手术”解决进食“大难题”
文章转载自:山东省立三院
专家简介:李晓沛,消化内科副主任(主持工作),山东省立第三医院副主任医师,医学博士,硕士研究生导师。擅长消化疾病诊治,精于胃肠镜及超声内镜诊治,如早癌筛查、EMR、ESD、消化道出血镜下止血、支架置入、EFR、POEM、ERAT、NOTES、超声内镜引导下FNA等治疗。
淄博的赵先生(化名)最近1年有些心烦,总是莫名其妙出现吞咽困难,有时候喝口稀饭都会卡在嗓子眼咽不下去,还有时吃的快吃的多了,感觉食物就在咽部存着,还会吐出来。一开始赵先生没当回事,后来越来越频繁,让赵先生的生活苦不堪言,不敢出去聚会,也不敢吃的太多。
赵先生在网上查找自己的症状,感觉很像食管癌的表现,心里很害怕,忙去当地医院进行检查。拿到检查结果赵先生悬着的心总算落了地,检查排除了食管癌,也没有发现神经系统的问题,拿着治疗咽炎的药赵先生开心的回家了。
可回家后赵先生药物吃了一大堆,一点效果也没有,生活质量越来越差,心理压力也越来越大。一次偶然的机会,赵先生听人说起山东省立三院(山东省消化病医院)在治疗消化系统疾病方面声誉显著,便在家人的陪同下来到济南就诊。
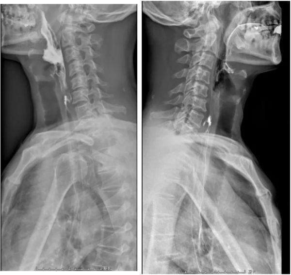
在医院的消化内科就诊后,医生为赵先生安排了钡餐检查,结果真发现了问题。在赵先生的食管上段发现一个憩室,直径约2.5cm。
患者检查结果
消化内科李晓沛主任为患者介绍,这种憩室在医学上叫做Zenker憩室,是咽与食管移行处管壁向外突出而形成的囊袋状结构,常位于下咽缩肌与环咽肌之间的左后方,食管黏膜从后咽部薄弱区(Killian 三角区)疝出而形成,属于挤出性假性憩室。中小食管憩室多无症状,可以不需要特殊治疗。但是仍有小部分食管憩室患者,尤其是大憩室患者常合并食管动力障碍,会出现烧心、反流、吞咽困难、胸痛、呕吐等症状,严重影响患者的生活质量。如果不及时治疗,可能会引起肺部并发症,食物淤积造成食管炎症和溃疡,更严重的是增加癌变风险。随着内镜技术的飞速发展,现在治疗食管憩室已无需再行开胸手术,全部手术过程均可在无痛状态下通过胃镜进行操作。
听说可以通过微创的“小手术”,就能治好困扰自己许久的“大难题”,赵先生与家人都很高兴。
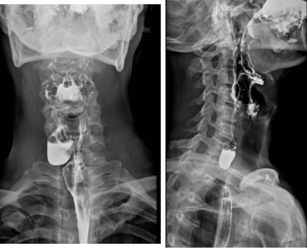
经过术前评估,李晓沛主任为赵先生开展了内镜下治疗。术中,在内镜下见憩室位于距门齿16cm处,开口1cm,吞咽时食物就会通过开口进入囊腔,导致吞咽困难。通过内镜,李晓沛主任在食管粘膜下打一“隧道”,在“隧道”内切开食管憩室间嵴,随着食道憩室嵴的切断,憩室消失了,原本食物会漏进去的“口袋”便消失了,食物不再停留于这个空间,从而解决了患者进食困难的问题。术后复查造影食管上段憩室消失,赵先生进食也没有出现吞咽困难,困扰赵先生的问题得到彻底解决。
术后患者检查结果
山东省立三院(山东省消化病医院)消化内科经过几代人的不懈努力,在医疗、护理、教学、科研等方面取得了长足的进步和发展,赢得了业界良好的社会口碑,获得了广大患者的赞誉。科室将继续坚持以患者为中心的服务理念,不断提高诊疗技术水平,为增进人民健康福祉做出更大贡献。
本文由“健康号”用户上传、授权发布,以上内容(含文字、图片、视频)不代表健康界立场。“健康号”系信息发布平台,仅提供信息存储服务,如有转载、侵权等任何问题,请联系健康界(jkh@hmkx.cn)处理。
相关知识
减重MDT团队齐心协力,一台微创手术解决患者两大难题
子宫剖宫产瘢痕憩室...
腹腔镜微创减重手术的费用
腹腔镜+阴式广泛=微创手术的最佳选择之一
微创肾结石手术费用解析与术后养护要点
胃癌手术:微创与大手术,如何选择?
腹腔镜微创减重手术真的能减肥吗
【临床实录】288斤小伙完成微创减重手术后,瘦了43斤!
腹腔镜微创减重手术真的能够减肥吗
治疗肥胖症的微创外科手术有哪些类型?
网址: 内镜治疗食管憩室,微创“小手术”解决进食“大难题” https://www.trfsz.com/newsview513628.html
推荐资讯
- 1发朋友圈对老公彻底失望的心情 12775
- 2BMI体重指数计算公式是什么 11235
- 3补肾吃什么 补肾最佳食物推荐 11199
- 4性生活姿势有哪些 盘点夫妻性 10428
- 5BMI正常值范围一般是多少? 10137
- 6在线基础代谢率(BMR)计算 9652
- 7一边做饭一边躁狂怎么办 9138
- 8从出汗看健康 出汗透露你的健 9063
- 9早上怎么喝水最健康? 8613
- 10五大原因危害女性健康 如何保 7828
