患者突然说不出话+意识模糊,居然是因为工作压力太大……
查房时间:71 岁,女,意识模糊、失语症 3 天。既往有重症肌无力病史。
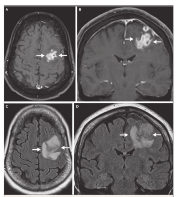
白细胞计数升高,MRI如图。

病变组织活检发现有非典型细胞浸润,呈局灶性血管周围排列。
考虑什么性质占位?怎么治疗?
老年女性,重症肌无力病史,往往使用激素,免疫抑制剂,多发环状强化,急性发病,脓肿,真菌,寄生虫都要考虑,转移瘤可能性不大,腰穿脑脊液培养,NGS检查。
患者重症肌无力,可能使用激素等免疫抑制药物治疗,结合白细胞升高,考虑脑脓肿可能,完善腰穿协助诊断,考虑抗感染治疗,必要时手术切除病灶。
9:30
老年性,急性起病,表现为意识模糊,失语等皮层功能区,既往重症肌无力病史,激素,免疫抑制剂,影像学提示额叶病灶,检验提示白细胞升高,炎症反应?活检提示非典型细胞浸润,呈血管排列,目前最常用还是排他性midnights诊断原则炎症/免疫性,变性肿瘤,感染。
患者老年女性,急性起病,有意识水平下降,既往重症肌无力病史,结合WBC升高、核磁所示不规则环形强化及周围大水肿带,优先考虑脑脓肿,需完善腰穿和CSF病原学检查。因MG可合并纵膈肿瘤,需鉴别转移瘤。
@所有人
这个患者起病是比较急的,在上班(71 岁了还在打工)打字的时候突然出现不连贯,几分钟之后就失语了。
患者有「重症肌无力」病史,长期服用霉酚酸酯,可能导致免疫功能低下状态。
结合影像学表现,高度怀疑是淋巴瘤,进行了开颅活检,术中冰冻切片并么有提示炎症,也提示有恶性浸润,考虑淋巴瘤,取了组织送病检,没有取额外组织做微生物检测。
术后,尽管接受了糖皮质激素治疗,患者的神经系统状况仍持续恶化,术后第一天,重复头部 MRI 检查显示病情进展,水肿加重。
术后第二天,病理科报告有新发现:主要是炎症反应为主。这你受得了?
于是进行了第二次活检,取了组织做微生物检测,最后通过质谱分析确定:单核细胞增生李斯特菌感染。(这个过程我写出来几句话,实际病例的分析过程相当复杂)
患者治疗方案:0~2 周接受氨苄青霉素静脉给药+口服利奈唑胺,3~6 周接受氨苄青霉素静脉给药,7~8 周口服利奈唑胺。住院三周后出院行康复治疗,各方面症状明显改善。
相关知识
心理压力大突然瘦十斤
工作压力太大怎么办?试做七件事来缓解
孩子说话突然结结巴巴,怎么办?
突然爆瘦是什么原因?怎么应对
女性下面突然出血是什么原因
为什么有人会突然暴瘦?突然暴瘦的原因是什么
太突然!杜海涛在跑步时突然心梗离世
体重突然下降15斤,不放心去医院,一查竟然是肠癌,这是为什么?
对话大自然家居
太突然!51岁高晓松突然暴瘦,26天减重26斤网友直呼认不出
网址: 患者突然说不出话+意识模糊,居然是因为工作压力太大…… https://www.trfsz.com/newsview746925.html
推荐资讯
- 1发朋友圈对老公彻底失望的心情 12775
- 2BMI体重指数计算公式是什么 11235
- 3补肾吃什么 补肾最佳食物推荐 11199
- 4性生活姿势有哪些 盘点夫妻性 10428
- 5BMI正常值范围一般是多少? 10137
- 6在线基础代谢率(BMR)计算 9652
- 7一边做饭一边躁狂怎么办 9138
- 8从出汗看健康 出汗透露你的健 9063
- 9早上怎么喝水最健康? 8613
- 10五大原因危害女性健康 如何保 7828
