这个病例考虑肿瘤,被主任批评了
5
丁香园神经科讨论群(498)
@所有人
早查房:29 岁男,头痛、视力模糊 1 周。
眼科检查:左眼视力 20/200,右眼只能感知光线。
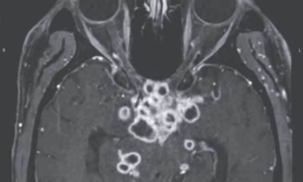
头部 MRI:视交叉、视神经束附近有多个环状增强病变。
脑脊液检测:淋巴细胞增多。
考虑什么诊断?如何治疗?

首先结核性脑膜炎:结核性脑膜炎是一种严重的中枢神经系统感染,MRI上可能表现为脑膜强化,脑实质内可能出现结核瘤,表现为环形强化灶。
脑脊液检查可见淋巴细胞增多,蛋白增高,葡萄糖降低。
可以回顾一下病人有没有体重减轻,免疫力下降,发热等情况
青年男性,头痛,视力下降,颅底环形强化,脑脊液淋巴细胞增多,结核性脑膜炎可能性大
青年男性,急性起病,表现为头痛、视物模糊,查体双眼视力下降,头颅核磁共振检查示颅底强化,环形强化,壁薄。
首先考虑中枢神经系统感染,结核可能性大,不除外其他病因致脓肿形成
9:30
肿瘤是不太可能的,病变比较分散,如果是肿瘤血源播散,一般都会在靠近脑膜的皮层或皮层下,同时水肿明显。
而该例病变完全在脑膜,脑膜肿瘤,例如脑膜癌,都形成不了环形的病变,中枢原发更不可能。
只会是感染、结核瘤、隐球菌结节肉芽肿都可能,更倾向结核。
@所有人 公布答案:
患者脑脊液核酸扩增检测发现结核分枝杆菌,同时有结肠结核,确诊为「结核性视交叉蛛网膜炎」,属于结核性脑膜炎的并发症,因为渗出物导致视神经和视交叉蛛网膜发炎,从而出现视力丧失。 临床表现,影像表现都是挺典型的。
部分结核病患者接受适当抗结核治疗后,病情会出现反常性恶化,表现为原有病变恶化或出现新病变,这被称为「矛盾反应」。
目前普遍认为「矛盾反应」是过度炎性反应,与宿主免疫反应和分枝杆菌产物直接作用有关。对此尚无推荐的治疗方案,常见治疗选择是加用糖皮质激素治疗或手术切除。
本例患者用地塞米松控制疾病进展,并继续抗结核治疗。3 个月后,患者症状有所减轻。
相关知识
肿瘤复发,为何5年是个坎?
世界首个磁场肿瘤治疗人体实验:显著减小致命脑肿瘤
ISTH 2013:Khorana评分能用于肿瘤患者死亡风险的评估
2024年9个创新型生物制品获批,抗肿瘤药领跑
女性肿瘤生育力保存
腮腺肿瘤
国产抗肿瘤药物开启“反向出击”
国家卫生健康委:我国将建国家儿童肿瘤监测体系
【东方专病】眼睑处长了睑黄瘤!移步这个专病门诊
为啥要做病理检查?病理结果为何不能互认?北大肿瘤病理专家解答
网址: 这个病例考虑肿瘤,被主任批评了 https://www.trfsz.com/newsview773951.html
推荐资讯
- 1发朋友圈对老公彻底失望的心情 12775
- 2BMI体重指数计算公式是什么 11235
- 3补肾吃什么 补肾最佳食物推荐 11199
- 4性生活姿势有哪些 盘点夫妻性 10428
- 5BMI正常值范围一般是多少? 10137
- 6在线基础代谢率(BMR)计算 9652
- 7一边做饭一边躁狂怎么办 9138
- 8从出汗看健康 出汗透露你的健 9063
- 9早上怎么喝水最健康? 8613
- 10五大原因危害女性健康 如何保 7828
