央视新闻:7岁左右是第一个牙齿矫正黄金期
在以往人们的观念中
认为矫正牙齿要等到十二岁
孩子的牙齿换完了再进行
但这个观念是不严谨的
还耽误了很多孩子
给他们带来了莫大的遗憾
有一些畸形是需要早期治疗的
也就是在乳牙期或者替牙期
就可以开始治疗的
7岁左右是牙齿矫正的第一个黄金期
暑期,正值牙齿矫正高峰时期,央视报道了暑期儿童青少年牙齿矫正的内容,权威解答了一些家长们的疑问。
微信视频预览查看
△点击观看视频
7岁是儿童生长发育最旺盛的时期,也是儿牙矫治的第一个黄金期。在此期间,牙齿切换会出现很多问题,例如乳牙滞留,恒牙阻生等。这时,我们抓住生长发育的特点进行矫正,不仅可以排齐牙齿,还可以促进骨骼的正向发育,此时的治疗效果最好。
什么是儿童早期矫治?
儿童早期矫治是指在孩子早期生长发育阶段(一般指青春期生长发育高峰期前或高峰期阶段)对已经表现出的牙颌畸形、畸形趋势(即可导致牙颌畸形的病因)等进行的预防、阻断、矫正和引导治疗。主要包含以下三方面内容:1.早期预防,2.早期阻断,3.早期生长控制。
早期预防
是指对影响牙齿、牙槽骨、颌骨等正常生长发育变化中的全身和局部不良因素及时发现并去除、或对轻微异常进行纠正,使牙颌面和谐生长,其实就是发现和去除不良影响因素起到预防错颌畸形发生的作用。
早期阻断
是指对乳、替牙列因先天或后天因素所导致的、正在发生的或已初步表现出的牙、牙列、咬合关系及骨发育异常等,采用简单方法进行治疗以阻断畸形发展的过程,使之自行调整建立正常的牙合面关系。用通俗的语言来说就是如果错颌畸形正在发生,正畸医生采用一些措施来阻断发生的过程,从而避免造成不良后果。
早期生长控制
早期生长控制 则是指对于在生长期有严重的上下颌骨发育异常、异常倾向的患儿可在生长发育高峰期采用牙合面生长引导和颌骨矫形治疗的方法促进和抑制颌骨生长,改变其生长方向、空间位置和比例关系,引导颅颌面正常生长。
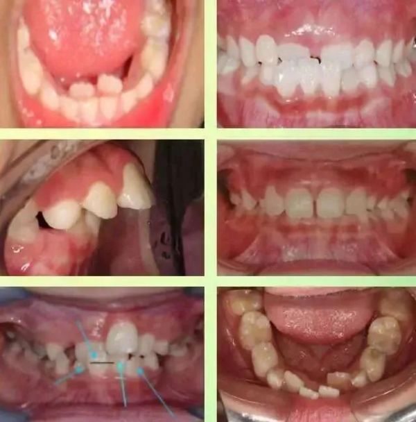
我们来看一组照片:

在儿童生长早期,由于儿童的不良习惯,容易出现牙齿不齐,深覆合,地包天等口腔问题。
目前,国内关于错颌畸形的相关知识普及并没有做到位,大多数的家长还是认为要进行正畸必须等到12岁孩子恒牙更换完成之后进行。但是,其实这是并不准确的。
5~12岁是孩子牙齿生长发育的快速时期,在睡觉时孩子的荷尔蒙分泌旺盛,在生长激素的作用下,孩子的颌面部及牙齿进行快速发育。
经研究发现,儿童颌面部生长发育在4岁完成60%,7岁完成70%,12岁完成90%。
因此在5~12岁进行牙齿矫正,能够实现舒适化矫正,让牙齿沿着正确的生理方向生长。

美国正畸协会推荐:儿童最好在不晚于7岁前进行正畸检查。

简单地说:治疗得越早,时间越短,所需费用也越少。
矫正上下牙齿不能正确咬合的错位咬合也是越早越好。
哪些牙齿不齐需要早期矫正
牙齿不齐是指儿童生长发育过程中,由先天的遗传因素或后天的环境因素造成的牙齿排列不齐、上下牙弓牙颌关系异常、颌骨大小形态位置异常、面部畸形等问题。有以下几种情况就需要注意了。

深覆盖(龅牙)
上颌前牙向前异常突起,情况严重者就是我们通常所说的龅牙。

深覆颌
上牙包住下牙的范围过大,情况严重者甚至可以咬到下牙牙龈。

反颌(地包天)
下牙包住上牙,可以造成月牙脸,影响颜面美观。

开颌
牙齿咬合或前伸时,上下牙在垂直方向上不能接触。

牙齿拥挤
牙量大于骨量空间不够导致牙齿排列不整齐呈重叠拥挤状态。
早期矫治是口腔正畸学界共识
以前很多家长都认为牙齿矫正应该在牙齿换完以后(一般在12岁以后),现在又有家长接受到信息是:提前进行“肌肉功能训练”,以后就不需要再进行矫正了。听多了,家长就懵圈了,到底什么时候开始矫正最好?
答案是5-12岁时儿牙矫正的黄金期。这个时期,儿牙矫正具有如下优势:
1.在孩子骨头成熟前,更好地利用生长潜能;
2.降低拔牙概率,降低正颌手术概率;
3.早期干预,费用低;
4.及时控制发育中的异常,避免复杂情况出现;
5.降低二期治疗的难度,效果更好且稳定;
6.降低复发概率。
温馨提示:为保证正畸效果应尽量选择正规医疗机构、专业正畸医生来完成牙齿矫正。
本文由“健康号”用户上传、授权发布,以上内容(含文字、图片、视频)不代表健康界立场。“健康号”系信息发布平台,仅提供信息存储服务,如有转载、侵权等任何问题,请联系健康界(jkh@hmkx.cn)处理。
相关知识
牙齿错过“黄金时间”还能矫正吗
牙齿矫正反弹怎么办
矫正牙齿是不是越早越好? 健康知识
牙齿矫正,只知“趁早”还不够
牙齿矫正后反弹的原因是什么?矫正牙齿的危害大不大?
“虎牙”也属于畸形 到底什么样的牙齿需要矫正?
四十岁牙齿矫正的亲身经历:没想象的那么“难堪”!
并非所有儿童都需要早期矫治,走出儿童牙齿矫正误区
珠海海精灵口腔2024价格表更新:含种植牙、牙齿矫正、补牙、拔智齿价格查询!
2024牙科诊所收费标准一览:含种植牙、补牙、牙齿矫正价格查询!
网址: 央视新闻:7岁左右是第一个牙齿矫正黄金期 https://www.trfsz.com/newsview789429.html
推荐资讯
- 1发朋友圈对老公彻底失望的心情 12775
- 2BMI体重指数计算公式是什么 11235
- 3补肾吃什么 补肾最佳食物推荐 11199
- 4性生活姿势有哪些 盘点夫妻性 10428
- 5BMI正常值范围一般是多少? 10137
- 6在线基础代谢率(BMR)计算 9652
- 7一边做饭一边躁狂怎么办 9138
- 8从出汗看健康 出汗透露你的健 9063
- 9早上怎么喝水最健康? 8613
- 10五大原因危害女性健康 如何保 7828
