交医精术
关注



近日,一附院神经外科李奇教授团队成功运用吲哚菁绿荧光造影辅助下的4K超高清经鼻神经内镜技术,为多名垂体瘤患者实施了高难度微创手术。术中,在荧光显像指引下完好保护正常垂体结构,实现了肿瘤的全切,术后患者恢复良好,均已康复出院。
纪女士是其中之一,因发现鞍区占位性病变于我院神经外科垂体瘤专病门诊找李奇副主任医师就诊。完善垂体核磁检查后明确诊断为无功能垂体大腺瘤。在收治住院后经全面检查排除手术禁忌症后李奇副主任医师决定采用吲哚菁绿荧光造影辅助经鼻神经内镜下垂体瘤切除术。

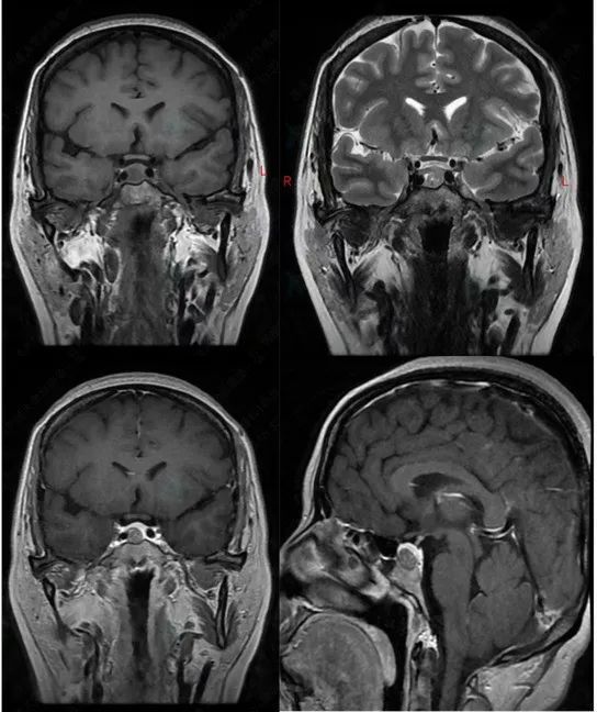
患者术前垂体MRI
垂体瘤作为颅内常见肿瘤,虽多为良性,但其生长位置堪称“生命中枢的邻居”——深藏于颅底,紧邻视神经、颈内动脉、海绵窦等重要结构。传统经鼻内镜手术虽为“金标准”,却长期面临两大难题:其一、术中稍有不慎损伤周围血管神经,即可导致失明、大出血甚至生命危险。其二、肿瘤与正常垂体组织如“雾里看花”,缺乏清晰界限,强行全切易伤及垂体功能导致终身内分泌紊乱,而切除不净又埋下复发隐患。如何在“安全”与“全切”间找到平衡,是国际性难题。
本次手术采用吲哚菁绿荧光造影技术,结合先进的4K超高清内镜系统,为术者装上了“透视眼”和“显微镜”:一方面,实时动态显示术区血管(特别是关键的双侧颈内动脉)走行,如同为手术刀规划出精确的“安全航道”,极大规避误伤风险。另一方面,在特定荧光模式下,肿瘤组织与正常垂体呈现显著对比差异。术者可清晰辨识肿瘤边界,精准剥离,有效避免“多切”或“少切”。此外,4K内镜提供极致清晰的放大术野,结合荧光导航的实时性(无需中断手术),让精细操作如虎添翼。
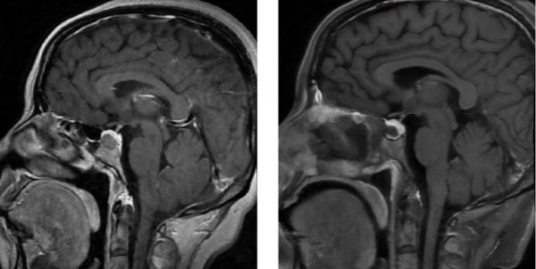
术中,在荧光技术的精准引导下,李奇副主任医师可清晰分辨肿瘤与垂体的分界,使得肿瘤切除过程精准而高效。最终,在完整保留患者垂体功能的前提下,肿瘤被彻底清除。术后影像学检查(MRI)对比显示术前占位的肿瘤影完全消失,周围正常结构完好无损。
本次手术的成功实施,充分验证了吲哚菁绿荧光造影辅助技术在经鼻内镜垂体瘤切除术中的显著价值:通过实时血管显像为手术构筑安全屏障,使操作更安全;借助清晰的肿瘤边界辨识,实现最大程度切除与最佳功能保护的精准统一。该技术的成熟应用为垂体瘤患者提供了更安全、更彻底、恢复更快的治疗新选择,标志着我院神经外科微创精准治疗水平实现新的突破,具有重要的临床推广价值。

术前和术后磁共振对比,左图为术前,右图为术后
近年来,在学科带头人王茂德教授和科主任张华教授的引领下,一附院神经外科团队已成功构建了涵盖颅脑肿瘤、垂体神经内分泌肿瘤、帕金森病、癫痫、脑血管病、脊柱脊髓及功能神经外科等多个亚专业的完整学科体系,形成了显著的专科特色和技术优势。团队将持续推进技术创新与临床应用,以更精湛的医术、更安全的诊疗方案,为患者提供高质量的神经健康保障。
免责声明:本内容来自腾讯平台创作者,不代表腾讯新闻或腾讯网的观点和立场。
举报
相关知识
中医新技术碰撞:埋线减肥与针灸的精彩交汇!
2018互联网医疗健康学术技术交流大会将召开
艺术与医疗交融!浙大邵逸夫医院变身健康展览馆
个人补交职工医保怎么交
中医特色技术临床交流会中推第十一届年会
Taweesak教授莅临德达医院开展二尖瓣成形术深度交流
医院精神科患者社交技能训练
手术室医疗物资精益化管理方案
2025年AI辅助基因精准医疗编辑技术应用.docx
薇彧宸文化推动中意文化桥梁:艺术交流展精彩呈现
网址: 交医精术 https://www.trfsz.com/newsview1931873.html
推荐资讯
- 1发朋友圈对老公彻底失望的心情 12775
- 2BMI体重指数计算公式是什么 11235
- 3补肾吃什么 补肾最佳食物推荐 11199
- 4性生活姿势有哪些 盘点夫妻性 10428
- 5BMI正常值范围一般是多少? 10137
- 6在线基础代谢率(BMR)计算 9652
- 7一边做饭一边躁狂怎么办 9138
- 8从出汗看健康 出汗透露你的健 9063
- 9早上怎么喝水最健康? 8613
- 10五大原因危害女性健康 如何保 7828
