“头痛”没有那么简单
家住肇庆的刘女士(化名)今年44岁。1月份中旬吃晚饭时,她突然出现右侧太阳穴疼痛,并伴有舌头发麻、双手发麻及恶心感。随即到当地医院行相关检查。当时医生诊断偏头痛,汉密尔顿焦虑量表10分,汉密尔顿抑郁量表9分,显示轻度焦虑抑郁。
在当地医院接受对症治疗后,刘女士头痛症状没有减轻,反而出现进行性加重。为求进一步诊疗,来到广东三九脑科医院。
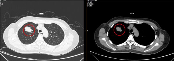
我院神经内二科杜浩勇医生接诊了患者。经详细追问病史,了解到患者既往体健。查体未见明显阳性体征。MR颅脑平扫+增强显示患者颅内软脑膜及所示颈髓软脊膜广泛异常强化,不排除颅内感染、脑膜转移可能(见图一),遂给予患者行肿瘤标志物检查。结果提示癌胚抗原34.70ng/ml,高;糖类抗原199:32.50U/mL,高;糖类抗原125:44.20U/mL,高;糖类抗原153:27.80U/mL,高。患者肺部CT提示右肺上叶尖段占位,考虑周围型肺癌;食管中下段稍扩张,胃底壁可疑增厚(见图二)。腰椎穿刺显示:白细胞计数35×106/L,高;脑脊液蛋白(CSFP)1.24g/L,高;细胞学呈淋巴-单核细胞反应型,以淋巴细胞为主,可见异形细胞,考虑肿瘤细胞可能性大。
为进一步明确病因,邀请了肿瘤综合诊疗科专家进行会诊。并对肺部进行穿刺活检,结果显示:浸润性腺癌,腺泡状生长方式为主。(见图三)
图一:颅内软脑膜及所示颈髓软脊膜广泛异常强化,不排除颅内感染、脑膜转移可能。
图二:1.右肺上叶尖段占位,考虑周围型肺癌;2.食管中下段稍扩张,胃底壁可疑增厚。
图三:免疫组化结果
经完善系列检查,最终考虑患者为肺腺癌并继发脑膜恶性肿瘤转移。神经内二科主任钟水生表示,脑膜转移癌是指外周肿瘤晚期转移至颅内侵犯脑和脊髓软膜,这会引起脑脊液的循环与吸收障碍,造成颅内高压,导致患者出现头痛、呕吐症状,同时进食减少,影响生活质量。根据患者的影像资料、脑脊液细胞学结果,显示肺癌细胞转移到了脑表面的软脑膜,对于软脑膜转移癌患者而言,需及时治疗。明确病因后,刘女士现已转入我院肿瘤综合诊疗科接受进一步治疗。
本文由“健康号”用户上传、授权发布,以上内容(含文字、图片、视频)不代表健康界立场。“健康号”系信息发布平台,仅提供信息存储服务,如有转载、侵权等任何问题,请联系健康界(jkh@hmkx.cn)处理。
关键词:
软脑膜,脑脊液,刘女士,头痛,简单,患者,肿瘤,转移,肺癌,糖类,颈髓,显示
相关知识
糖艺没捏糖人那么简单
自制酸奶:没你想象的那么简单
轻食=“吃草”?其实,没你想的那么简单!
跳绳没你想的那么简单
有机农业没你想的那么简单
生二胎没那么简单 那些你不可不知的事儿!
浓度要慎重!果酸美容没那么简单
针灸能减肥吗?事情没有想象的那么简单!
素食能减肥?真相没那么简单!
爬山没你想的那么简单,十个人有九个不会爬
网址: “头痛”没有那么简单 https://www.trfsz.com/newsview716325.html
推荐资讯
- 1发朋友圈对老公彻底失望的心情 12775
- 2BMI体重指数计算公式是什么 11235
- 3补肾吃什么 补肾最佳食物推荐 11199
- 4性生活姿势有哪些 盘点夫妻性 10428
- 5BMI正常值范围一般是多少? 10137
- 6在线基础代谢率(BMR)计算 9652
- 7一边做饭一边躁狂怎么办 9138
- 8从出汗看健康 出汗透露你的健 9063
- 9早上怎么喝水最健康? 8613
- 10五大原因危害女性健康 如何保 7828
