突然出现腹痛,同时有近期的消瘦,需警惕卵巢癌

提示:本内容仅作参考,不能代替面诊,如有不适请尽快线下就医
突然出现腹痛,同时有近期的消瘦,需警惕卵巢癌
2023年4月4日

摘要:本文中的患者为中年女性,近半月来反复出现腹部疼痛,且伴有体重的进行性下降,经止痛及护胃治疗后效果欠佳,最终在我院确诊为卵巢癌。该疾病为卵巢的恶性肿瘤,故经发现后应及时进行相关的手术及术后的放化疗。文中该患者幸而至我科进行治疗较及时,所有的治疗患者均积极进行配合,最终经过综合的抗肿瘤方案治疗后,患者康复出院。希望该患者的案例能让广大患者对卵巢癌有新的认识。
治疗方案
心电监护,血氧饱和度监测,给予左侧卵巢根治性手术,术后给予顺铂联合依托泊苷进行化疗,同时予维生素B12营养神经、氯化钠补液等处理
治疗效果
患者治疗后无腹部疼痛,术后手术切口处无红肿、渗液等感染倾向,未见明显手术后遗症,未见明显化疗的相关不良反应,出院后复诊无复发、无后遗症

一、初次面诊
今天我早上坐诊,一位中年女性患者至我科就诊。该患者诉半个月前开始无明显诱因出现腹部疼痛,以下腹部为重,疼痛以胀痛为主,平躺或休息均无缓解。伴有近期的消瘦,表现为近半月来体重下降3kg。无恶心、呕吐,无腹泻,无发热、畏寒,无咳嗽、咳痰。初次发作时至当地社区医院就诊,给予止痛及护胃药物治疗,经治疗后症状可缓解,但之后仍反复发作,且体重进行性下降。为进一步治疗,遂至我科就诊。经过问诊得知患者情况后,结合患者年龄,考虑目前出现的体重下降为恶病质导致,建议患者立即住院,完善检查,明确恶性肿瘤部位及类型,患者表示理解配合治疗,故我以“腹痛查因:卵巢癌?宫颈癌?”为初步诊断将患者收入医院作进一步诊治。
二、治疗经过
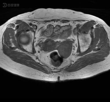
患者入住我科后立即予完善常规妇科入院检查等,MRI检查结果回报“左侧附件区发现肿块,考虑卵巢癌。”患者目前经MRI检查明确卵巢肿瘤,结合恶病质表现,目前考虑诊断为卵巢癌,建议患者立即进行手术,有助于改善疾病预后及制定后续的治疗方案,患者同意进行手术,遂立即给予左侧卵巢根治性手术。术后送检病理,结果回报提示卵巢癌,根据目前的综合情况,诊断患者疾病为卵巢癌。遂给予术后心电监护,血氧饱和度监测,术后给予顺铂联合依托泊苷进行化疗,同时予维生素B12营养神经、氯化钠补液等处理,经手术及术后化疗等辅助治疗后无腹部疼痛,术后手术切口处无红肿、渗液等感染倾向,未见明显手术后遗症,未见明显化疗的相关不良反应,患者持续治疗10天后患者康复出院。
(MRI:左侧附件区发现肿块,考虑卵巢癌。)
三、治疗效果
经过住院期间经过我们医疗团队10天的治疗,患者无腹部疼痛,术后手术切口处无红肿、渗液等感染倾向,未见明显手术后遗症,未见明显化疗的相关不良反应。每天护理报告显示,患者血压、心率等生命体征平稳,心律齐整。至病房查看患者情况,患者诉无腹部疼痛,术后手术切口处无红肿、渗液等感染倾向,未见明显手术后遗症,未见明显化疗的相关不良反应。出院当日告知患者该疾病为常见的恶性肿瘤,虽经手术及化疗后病情得到控制,但后续仍需进行长期的化疗及相关检查,应按期返院进行相关检查,定期复查肿瘤标记物、血常规、血生化、超声、MRI等检查,如再次出现腹部疼痛或体重下降等情况,应及时至我科就诊。
四、注意事项
1.患者出院后应按疗程服用药物,告知患者该疾病为常见的恶性肿瘤,虽经手术及化疗后病情得到控制,但后续仍需进行长期的化疗及相关检查,应按期返院进行相关检查,定期复查肿瘤标记物、血常规、血生化、超声、MRI等检查,如再次出现腹部疼痛或体重下降等情况,应及时至我科就诊。
2.患者出院后应注意三餐适当增加摄入优质蛋白等,有助于疾病的康复。
3.患者出院后应注意保持积极的治疗心态,保持良好的个人卫生情况,有助于疾病的治疗及康复。
五、个人感悟
卵巢癌为卵巢的恶性肿瘤,常表现为下腹部疼痛或体重下降等情况。如出现体重下降等恶病质表现,应立即至医院就诊,完善检查明确病变情况,尽早进行手术及术后的放化疗等辅助治疗,延缓病情进展或治愈该疾病。
本文中的患者为中年女性,近半月来反复出现腹部疼痛,且伴有体重的进行性下降,经止痛及护胃治疗后效果欠佳,最终在我院确诊为卵巢癌。幸而患者至我科进行治疗较及时,所有的治疗患者均积极进行配合,最终经过综合的抗肿瘤方案治疗后,患者康复出院。也提醒广大患者,如出现体重进行性下降或有反复的腹痛,一定要重视并及时进行治疗。
相关知识
突然暴瘦不是好事!出现这几个特征要警惕
突然消瘦要警惕哪种病
以为突然暴瘦是好事?有可能是要命的事!
警惕!身体出现这十种情况,当心是癌
老人突然消瘦警惕哪些病
警惕突然消瘦 可能是癌症来袭
卵巢癌有那些早期征兆
突然消瘦要警惕哪六种病?
突然消瘦10斤要警惕!六种病可能悄悄来袭
突然“消瘦”有可能得癌了
网址: 突然出现腹痛,同时有近期的消瘦,需警惕卵巢癌 https://www.trfsz.com/newsview996859.html
推荐资讯
- 1发朋友圈对老公彻底失望的心情 12775
- 2BMI体重指数计算公式是什么 11235
- 3补肾吃什么 补肾最佳食物推荐 11199
- 4性生活姿势有哪些 盘点夫妻性 10428
- 5BMI正常值范围一般是多少? 10137
- 6在线基础代谢率(BMR)计算 9652
- 7一边做饭一边躁狂怎么办 9138
- 8从出汗看健康 出汗透露你的健 9063
- 9早上怎么喝水最健康? 8613
- 10五大原因危害女性健康 如何保 7828
