老年男性头痛,颅内发现巨大占位,居然没有其他症状?
@所有人
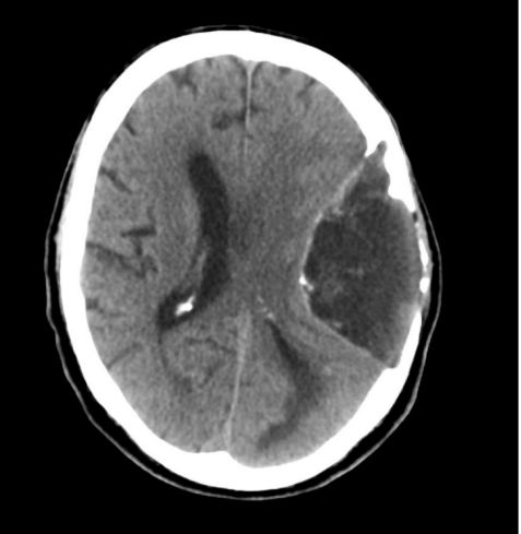
看片子:患者 80 岁男性,前额疼痛 4 天,疼痛逐渐加重,止痛药无法缓解。疼痛过程最早可追溯到 4 月前,逐渐进展。
4 月前 CT 如图,本次复查 CT 无明显变化。既往史有高血压和抑郁症。怎么诊断?

颅内占位,骨有破坏,中线偏,考虑恶性脑膜瘤,鉴别转移瘤,淋巴瘤。
颅骨是之前做过血肿清除吗?考虑:慢性硬膜下血肿,脑疝。
肿瘤,占位效应明显,破坏颅骨?疑问:是否发热?既往是否有开颅手术?
9:30
80 岁男性,病程四月,前额疼痛 4 天,疼痛逐渐加重,止痛药无法缓解。左侧额部巨大占位,压迫效应明显,硬膜外病变,伴有颅骨侵蚀与脑组织分界清楚炎性肉芽肿可能性最大。密度低于脑组织,病变膨胀,有张力,部分液化。
患者高龄男性,主诉前额头痛,CT见左额部占位,基底宽附着于外,呈不规则低密度影,邻近颅骨侵蚀,符合硬膜外病变。考虑硬脑膜转移ca
左侧侧脑室挤压明显,但中线没有偏移,颅骨似乎有受损,考虑肿瘤。
@所有人 公布答案:
患者 4 月前 CT提示颅内左侧顶部有 9cm×7.5cm 低密度肿块,周围颅盖变薄,中线轻度右移。本次入院复查 CT 无明显变化,但 CT 结果无法明确「表皮样囊肿」还是「皮样囊肿」,
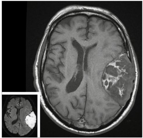
补充 MRI 如图:T1 加权病灶内部条带状高信号(主图),DWI 高信号(小图),确诊表皮样囊肿。

表皮样囊肿,胚胎期神经管闭合时因为混入了外胚层成分,逐渐生长导致的肿瘤形成。典型表现为:脑外脑池肿块,具有塑形、钻缝生长特征。
CT 一般为低密度,少数可因蛋白含量高呈高密度,囊壁可出现钙化。T1WI 通常低信号、T2WI 高信号。
DWI 弥散受限是诊断表皮样囊肿的要点,可以和颅内皮样囊肿鉴别。本例特殊性在于,影像学上能看到面积这么大的占位,但患者除了头痛之外,竟然没有出现其他显著的神经系统症状。
接诊医生推测这可以用「门-克里二氏学说(Monro–Kellie doctrine)」解释:颅内神经组织、血液和脑脊液的总体积是恒定的,为了维持颅内压的稳态,其中任何一个成分的增加或减少都会导致其他成分的相反变化。
存在颅内肿块的情况下,通过其他成分的变化仍然可以保持正常颅内压,本阶段如果是良性肿块,可以保守治疗。
只有当脑脊液和静脉血容量变化,无法再缓冲颅内肿块的增大对颅内压的影响时,才会出现神经系统症状,如头痛、视觉障碍和感觉运动障碍,此时推荐手术治疗。
本例患者已出现剧烈头痛表现,后续接受手术治疗。
相关知识
老年男性头痛,颅内发现巨大占位,居然没有其他症状?
扬网健康|频繁头痛原是颅内长了瘤
颅骨骨折的症状表现
60岁老人突然瘦没有其他症状
神经性偏头痛症状有哪些危害
“头痛”没有那么简单
产科椎管内麻醉常见并发症——硬脊膜穿破后头痛
熬夜、玩手机?易引发颅内海绵状血管瘤破裂出血,情况十分危急
男性亚健康有哪些症状
老年人颅内压增高食谱大全
网址: 老年男性头痛,颅内发现巨大占位,居然没有其他症状? https://www.trfsz.com/newsview1073503.html
推荐资讯
- 1发朋友圈对老公彻底失望的心情 12775
- 2BMI体重指数计算公式是什么 11235
- 3补肾吃什么 补肾最佳食物推荐 11199
- 4性生活姿势有哪些 盘点夫妻性 10428
- 5BMI正常值范围一般是多少? 10137
- 6在线基础代谢率(BMR)计算 9652
- 7一边做饭一边躁狂怎么办 9138
- 8从出汗看健康 出汗透露你的健 9063
- 9早上怎么喝水最健康? 8613
- 10五大原因危害女性健康 如何保 7828
