神经指南:急性后循环缺血性卒中早期识别与评估专家共识
01
前言
急性后循环缺血性卒中(acute posterior-circulation ischemia,aPCI)发病率高,约占所有缺血性卒中的20%-25%,年发病率为18/100000,是卒中患者致残和致死的重要原因,但其与急性前循环缺血性卒中相比尚未引起足够的关注和有效的管理。为此,在结合aPCI临床特点、各地卒中防治的条件和国际相关研究进展与指南的基础上,湖北省脑血管病防治学会组织省内专家制定本共识,旨在帮助提高基层卒中防治站、各级卒中中心急救工作者和临床医生对aPCI的早期识别能力,更好地指导临床治疗,改善患者预后。
02
急性后循环缺血性卒中早期识别与评估的现状
2.1 aPCI的概念
后循环又称椎-基底动脉系统,由椎动脉(Vertebral artery,VA)、基底动脉(Basilar artery,BA)和大脑后动脉(Posterior cerebral artery,PCA)组成,主要供血给脑干、小脑、丘脑、枕叶、部分颞叶及上段脊髓。aPCI是指因后循环血管狭窄和闭塞引起低灌注、血栓形成或栓塞造成脑组织缺血性损害而导致的临床综合征,按症状和持续时间分为后循环短暂性脑缺血发作(Transient ischemic attacks,TIA)和后循环梗死。
后循环缺血(Posterior-circulation ischemia,PCI)的临床表现与前循环缺血(Anterior circulation ischemia,ACI)有很大的不同,其核心症状包括头晕/眩晕、复视、构音障碍、吞咽困难、跌倒发作、共济失调;其他症状还包括:语言障碍、意识障碍、呕吐、头颈枕部疼痛、耳鸣、听力损失、口周麻木、肢体麻木无力等。较具特异性的PCI综合征包括:延髓内侧综合征(Dejerine综合征)、延髓外侧综合征(Wallenberg综合征)、延髓半侧梗死、闭锁综合征、下腹脑桥综合征、脑桥下内侧综合征、脑桥外侧综合征(Marie-Foix综合征)、脑桥中部被盖综合征(Di Grenet综合征)、基底动脉尖综合征、中脑背侧被盖综合征(Millis综合征)、中脑腹侧综合征(Weber综合征)、丘脑疼痛综合征(Dejerine-Roussy综合征)等。
2.2 aPCI早期识别与评估的现状
后循环卒中在早期识别中存在较高的漏诊率和误诊率。在一项对465名卒中患者的研究中,后循环卒中患者漏诊率约为前循环卒中患者的2.5倍(38% vs 16%)。aPCI的误诊率较高,首要原因在于PCI患者临床特征通常是非特异性的,且多与ACI和类卒中重叠而极少只表现为单一的症状或体征,单纯的头晕/眩晕、头昏、头痛、跌倒发作和短暂意识丧失等在急诊科就诊患者中很常见,但大部分都不是PCI导致;其次,目前广泛用于急性缺血性脑卒中早期识别的诊断工具,如美国国立卫生院卒中评分量表(The national institutes of health stroke scale,NIHSS)和面-手臂-语言测试(Face-arm-language test,FAST)等均侧重于ACI,而对PCI早期识别的敏感性和特异性较差;再者,临床常用的影像学技术对于aPCI的识别也具有局限性,如急诊科首选影像学检查技术CT对于aPCI的早期诊断敏感性仅为7%-42%。漏诊和误诊aPCI都会给患者带来严重的不良后果。研究数据显示初次急诊就诊时漏诊小脑卒中可能使死亡风险增加8倍,这与错失溶栓机会、后颅窝水肿的早期手术干预、早期小梗死后再发椎基底动脉卒中等因素密切相关。因此,寻找合适的检查工具对aPCI进行早期评估和识别十分必要。
03
急性后循环缺血性卒中早期识别与评估的建议
3.1 病史问诊及体格检查
3.1.1 病史问诊
详细了解患者病史,包括主要的症状、发病经过、持续时间及伴随症状等信息有助于aPCI的早期识别。事实上,当患者主要表现为神经系统受损症状和体征,如偏瘫、失语/构音障碍或偏盲时,aPCI的诊断并不困难,但当aPCI患者表现为孤立性头晕/眩晕(仅表现为头晕/眩晕,而无明显的局灶神经功能缺损定位症状和体征)时,与良性的前庭周围疾病表现类似,早期极难识别。研究表明,aPCI中出现头晕的患者误诊率高达三分之一。
研究表明,根据对新发头晕的时间、诱因及其他相关症状的描述把新发头晕分为急性前庭综合征(Acute vestibular syndrome,AVS)、触发性前庭综合征(Triggered episodic Vestibular syndrome,t-EVS)、自发性前庭综合征(Spontane-Ousepisodic vestibular syndrome,s-EVS)三大类的分类方法可以更准确地识别后循环脑卒中患者并及时地诊断和治疗更常见的外周前庭原因。其中,AVS是一组以急性起病,持续性眩晕/头晕伴恶心或呕吐、步态不稳、眼球震颤和头部运动为主要症状,持续数天至数周的临床综合征。AVS患者中25%为后循环卒中,尽管其常见病因为前庭周围性疾病,但却以后循环卒中引起的急性眩晕后果最为严重。
对于主要表现为头晕/眩晕的患者,除常规询问的信息外,还应该询问患者头晕/眩晕的起病方式、持续时间、诱发因素、伴随症状、既往史、家族史等信息。其中,患者的伴随症状如有无头痛(鉴别前庭性偏头痛)、有无耳鸣及听力下降(鉴别梅尼埃病和小脑前下动脉卒中)、有无复视、吞咽困难、饮水呛咳等颅神经受损症状、有无共济失调等小脑相关症状以及既往病史询问如有无头痛史、头晕史、耳病史以及高血压病和糖尿病等脑血管病危险因素等对于患者的鉴别诊断尤为重要。
3.1.2 一般体格检查
疑诊为PCI的患者需要对其进行肌力、肌张力、腱反射等神经系统体格检查,颅神经、小脑和步态测试尤为重要,约30%-60%的PCI患者会出现上述症状之一。常规的检查项目包括指鼻试验(或指下巴,以避免患者戳到自己的眼睛)、跟膝胫试验、面部运动和感觉对称、构音障碍测试和步态测试等,对于症状过于严重无法行走的患者,可以要求患者在担架上不抓侧栏坐直,以测试肢体共济失调。
3.1.3 头脉冲、眼震、眼偏斜试验(Head impulse test,nystagmus,test of s skew,HINTS)三步检查法
HINTS三步检查法(表1)被证明是筛查主要表现为AVS的PCI患者的有效方法。HINTS对脑卒中的敏感性和特异性可以分别达到98%和85%,可以快速且准确地识别和鉴别PCI,并且对PCI的敏感性比早期MRI(发病48h内灵敏度为88%)更高。HINTS检查包括头脉冲试验、凝视变向眼震和眼偏斜试验。头脉冲试验(-)、凝视变向眼震(+)及眼偏斜试验(+)提示中枢性病变。Newman-Toker等于2013年在检查项目中增加了由耳蜗或脑干缺血引起的听力障碍检查,即HINTS PLUS,提高了诊断的敏感性。HINTS(HINTS PLUS)包括以下几个内容:(1)头脉冲试验(Headimpulse test,HIT):HIT试验是在相对快速的头部旋转期间评估前庭-眼反射(Ves-tibulo-ocular reflex,VOR)的有用工具,有助于区分AVS是否与VOR直接通路相关。检查方法:检查者站在患者前面,双手扶住患者的头,嘱患者集中注意力于检查者的鼻子并保持头颈部放松,检查者快速将患者头部从中线移向一侧10°-20°,然后使头部迅速回到中心位置(>120°/秒),期间仔细观察患者眼球,阴性结果为患者目光始终锁定在检查者的鼻子上,即VOR直接通路正常;阳性结果表现为矫正性扫视,即眼球跟着头部移动,然后快速地回看检查者的鼻子,提示周围病变,通常是前庭神经炎。两边依次进行检查,若均为阴性,则提示可能存在PCI;(2)眼震:绝大多数伴有头晕或眩晕的小脑卒中患者都有眼震。医生应首先进行自发性眼震检查,然后检查凝视诱发性眼震。检测方法:①自发性眼震:头部保持直立和正中姿势(不转动或倾斜)时,眼睛直视前方,屏蔽视觉后观察眼球运动约30s,如出现眼震,则打开固视灯,继续观察眼震强度有无变化。中枢性自发性眼震形式多样(垂直、倾斜、水平等),固视抑制试验通常失败;②凝视诱发性眼震(Gaze-evoked nystagmus,GEN):GEN检查时嘱患者眼球由第一眼位移动至离心眼位,约30°时诱发的眼震,眼震快相常朝向凝视侧。通常观察到左凝视时左向水平眼震,右凝视时右向水平眼震,即为GEN阳性。GEN阳性高度提示中枢受损;(3)眼偏斜试验:眼偏斜试验敏感性并不高,但其对于脑干受累的检出特异度达98%。测试方法为“交替覆盖”,即患者直视检查者的鼻子,检查者交替覆盖患者左右眼,1次/1-2s。存在眼偏斜的患者每次蒙眼被揭开时有垂直矫正(在一侧会看到向上的矫正,在另一侧会看到向下的矫正)则提示PCI;(4)听力试验:传统观点认为,头晕合并听力丧失为外周神经病变,如梅尼埃病,迷路炎等。事实上,头晕合并听力丧失通常提示PCI。HINTS PLUS有助于发现小脑前下动脉卒中,患者听力障碍多存在于异常VOR侧(与眼震快相相反的一侧)。

推荐意见:当PCI患者临床症状不典型时,早期难以识别。询问病史时,应该做到尽可能详细,以发现与PCI有关联的线索。在针对性地询问病史的基础上使用一些体格检查测试如共济失调测试、步态检查、视野测试、平衡测试等都可提高PCI的检出率。HINTS及HINTS PLUS,不仅简便、快捷,且对于识别主要表现为AVS的PCI患者具有高度的敏感性和特异性,在PCI的早期诊断上甚至优于MRI-DWI,对于降低诊断成本、提高诊断准确性、节约院前救治时间、避免误诊导致的治疗无效和资源浪费方面均具有重大意义。但这一检查也因为阳性率偏低,对操作者要求高等原因使其应用受到限制。
3.2 急性后循环缺血性卒中的症状学评估量表
3.2.1 急性后循环TIA早期识别量表
后循环系统的TIA或小卒中发生早期卒中复发事件的风险高于前循环系统,早期识别后循环TIA可明显减少复发事件的发生风险。ABCD评分系列可以预测TIA进展为早期卒中的风险(表2)。其中,ABCD2评分是TIA发作分诊最经典的评分,但其倾向于预测短期风险,而且对前循环TIA发生脑梗死的预测能力强于后循环。双重TIA发作史(本次TIA发作7天内有另外1次TIA发作)和狭窄性血管病变是卒中的显著预测因子,ABCD3,ABCD3-I将双重TIA发作史(ABCD3,ABCD3-I)及神经影像学结果检查(ABCD3-I)纳入了评分中,提高了TIA后短期和长期发生卒中的预测能力,较ABCD2评分更能反映后循环TIA复发为早期卒中的高危风险。此外,最近的一项回顾性研究表明,ABCD2评分可能有助于识别伴有头晕的急诊科患者的急性后循环卒中,但其敏感性和特异性均不如HINTS,使用推荐的卒中临界值≥4时,对后循环卒中的敏感性为61%,特异性为62%。

3.2.2 后循环梗死评估量表
3.2.2.1 传统NIHSS及扩展版NIHSS(e-NIHSS)
NIHSS是临床上最常用于评估脑卒中患者神经功能障碍程度的量表之一,可针对神经功能的不同方面和神经系统症状及体征进行量化评估。但NIHSS评分项目中并未涵盖急性脑卒中特别是后循环系统的的全部神经功能障碍,如头痛、恶心、Horner征、复视、吞咽困难、步态异常、听力障碍及眼球震颤等,对于评估aPCI提供的信息十分有限。即便是NIHSS为0分的患者仍有可能发生了后循环梗死。
国外有研究采用e-NIHSS评分量表(表3)来评价PCI的严重程度。e-NIHSS由11个评分项目组成:意识水平、眼球运动、视野、面神经麻痹、上下肢运动、肢体共济失调、感觉、语言、构音、感觉忽视。评分范围从0(神经系统检查正常)至42(无反应性昏迷),得分在10分或以上者更可能发生了大动脉闭塞。e-NIHSS在NIHSS已存项目的基础上加入了特定的PCI的症状体征(如眼球震颤、垂直凝视、Horner征、躯干共济失调、闭目难立征、舌下神经麻痹和舌咽神经麻痹等),提高了诊断脑卒中特别是PCI的敏感性,其中眼球震颤、Horner征、舌咽及舌下神经损伤与躯干共济失调和闭目难立征相比更能反映特定的PCI症状。因此,怀疑存在PCI的患者,临床上可以采用e-NIHSS量表来评定。



3.2.2.2 急诊室脑卒中识别(Recognition of stroke in the emergency room,ROSIER)量表
ROSIER量表(表4)是Nor AM研究组于2005年设计出的一套用于院前、院内急救和医院分诊的脑卒中快速识别工具,推荐用于筛选所有可疑脑卒中的患者。该量表是基于临床病史(意识丧失、惊厥发作)和神经系统体征(面部、上肢无力、下肢无力、言语障碍、视野缺损)构建的卒中识别工具,共7项内容(总分为-2至+5),ROSIER总分>0分时定义为阳性,识别脑卒中的灵敏度为92%,特异性为86%;当总分≤0分时定义为阴性,发生脑卒中的可能性小,但不能完全排除。在与FAST量表对比中发现ROSIER量表包含了FAST量表中的所有项目,并额外增加了视野缺损、下肢无力、意识丧失/晕厥及癫痫发作活动,增加了后循环症状,尽管结果表明FAST与ROSIER识别脑卒中的敏感度和特异度相当,但该量表对于PCI识别可能具有潜在的临床裨益。
推荐意见:卒中量表的使用大大提高了对急性缺血性卒中识别率,但目前为止还没有单一的量表可以描述和预测卒中所有方面的内容,用于评估PCI的量表更是屈指可数。在量表的选择上,应当考虑信度和效度、各卒中量表的使用范围及优缺点,结合患者人群,在全面神经系统查体、获得详细准确的病史及影像学资料的基础上合理选择。对于怀疑为PCI-TIA的患者,可考虑使用ABCD评分系列,条件允许的情况下,推荐使用把影像学检查结果纳入评估的ABCD3-I评分;对于怀疑后循环梗死的患者,推荐选用e-NIHSS量表更益于其早期识别;ROSIER量表对于脑卒中识别具有高度的敏感性和特异性,量表评估项目中包含了后循环相关症状,但由于缺乏PCI识别的针对性研究,该量表对于PCI早期识别的临床适用性还有待商榷。应该注意的是,所有的量表均存在局限性,不能仅凭一个量表结果便轻易诊断为PCI,还应该进一步完善神经系统检查综合评估。
3.3 急性后循环缺血的影像学评估
3.3.1 颅脑超声
超声检查包括多种技术,目前临床主要应用的神经超声包括经颅多普勒超声(Transcranial Doppler,TCD)、经颅彩色多普勒超声(Transcranial colorcode Doppler,TCCD)和颈动脉彩色多普勒超声(Color Doppler ultrasonography,CDU),可用于检查后循环动脉的狭窄或者闭塞。其中,CDU可用于诊断VA的闭塞或夹层,但该检查对横突孔内的V1和V2段显示不清楚。TCD在识别和诊断血管源性孤立性眩晕上具有高度特异性,但敏感性较低。Tabuas Pereira等以108例AVS患者为研究对象,发现TCD检查诊断中枢血管性眩晕的特异度高达100%,但灵敏度仅为40.7%。相同条件下,TCCD具有更高的敏感性,可显示颅内V4、BA或PCA的闭塞性病变。但是,这两种检查结果均依赖于操作者的技术,并且在诊断后循环病变方面不如磁共振血管造影(Magnetic resonance angiography,MRA)和计算机断层扫描血管造影(Computed tomography angiography,CTA)敏感,因此很少作为单一或主要手段来评估PCI。此外,一种叫做功率M模式多普勒(Power moionmode Doppler,PMD)的新方法可以准确地识别后循环的血管病变(与CTA或MRA相比),但其灵敏度仅为73%,且在某些情况下,PMD的结果与CTA或MRA得到的结果是互为补充的,因此这项新技术值得进一步研究。
3.3.2 CT相关影像学技术
CT检查对识别脑出血的灵敏度可达93%,但是在识别PCI上的灵敏度很低,原因在于头颅CT检查容易受骨伪影影响,对脑干、小脑病变显示不佳。临床上,CT一般用于排除出血和不能进行MRI检查的患者。
在一系列以CT为基础的研究中发现,CTA对椎动脉病变的检查优于彩色多普勒超声,对颅内动脉狭窄和闭塞的敏感性较MRA高(分别为98 vs 70%、100% vs 87%),且在评估后循环狭窄闭塞性病变方面的可靠性优于数字减影血管造影(Digital substraction angiography,DSA)。Caruso等发现计算机断层扫描灌注成像(Computed tomography perfusion,CTP)在急性后循环脑卒中患者敏感性约70%,尽管CTP不能完全覆盖后颅窝,但局灶性CTP灌注不足是该研究人群3个月时功能预后的预测因素。Vander Hoeven等研究表明在识别PCI方面,与CT平扫相比,CTP和CTA具有更高的诊断价值及诊断准确性。
Alberta卒中项目早期CT评分(Alberta stroke program early CT score,ASPECTS)是量化早期CT缺血变化的系统方法,其评估卒中严重程度的临床效益与NIHSS评分相当。pc-ASPECTS可快速评估后循环卒中患者早期缺血性变化(从出现症状不超过3小时)及后循环卒中的进展并预测PCI的结局,有助于PCI患者早期复苏和溶栓治疗。pc-ASPECTS评分分值从10分到0分,正常的CT扫描的相位值为10分,中脑或脑桥存在局部缺血,则各减2分;左侧或右侧丘脑、小脑、大脑后动脉区域有缺血灶,各减1分;0分表示大脑中动脉范围内弥漫性缺血;pc-ASPECTS评分≤7是单变量和多变量模型中不良结果最强的预测因子。Caruso等发现在后循环卒中急性期使用扩展神经成像方案(CT/CTA-SI/CTP结合pc-ASPECT)具有较高的敏感性,结果显示CT,CT+CTA计算的pc-ASPECT得分敏感性均为24%,CT+CTA+CTP计算的pc-ASPECT得分敏感性为72%,该方案可能成为医生的PCI诊断和实际预后评估工具。Lin等还发现pc-ASPECTS和基线NIHSS的组合模型对预测PCI结果具有相加效应,因为pc-ASPECTS在检测NIHSS评分为0-1的PCI不良结果时更有效。

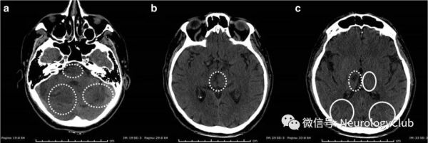
(插图1:入急诊室昏迷患者的后循环ASPECT[pc-ASPECT];后循环ASPECT从10分开始计算,如果在脑桥或中脑中发现缺血,减2分,而小脑、大脑后动脉区域和单个丘脑钟发现缺血,则减1分;本例中,虚线圆圈表示受累区域,连续圆圈表示未受累区域,故pc-ASPECT为3分;引自:Sparaco M, Ciolli L, Zini A. Posterior circulation ischemic stroke-a review part II: imaging and acute treatment. Neurol Sci. 2019 Oct;40(10):2007-2015.)

(插图2:基底动脉闭塞的昏迷患者,CTP显示延髓、小脑、中脑和左侧丘脑的脑血容量[CBV]减少[缺血核心,a],相同区域血流平均通过时间[MTT]增加[低灌注区,b],有一小的不匹配;ADC[c]显示不可逆的缺血与CBV图完全重叠;基于这些发现,没有尝试急性再通治疗;引自:Sparaco M, Ciolli L, Zini A. Posterior circulation ischemic stroke-a review part II: imaging and acute treatment. Neurol Sci. 2019 Oct;40(10):2007-2015.)
3.3.3 磁共振成像(Magnetic resonance imaging,MRI)相关影像学技术
MRI-DWI序列被认为是诊断后循环卒中的金标准,头颅MRI检查诊断眩晕/头晕患者缺血性卒中的灵敏度为83%,特异度为96%。研究认为,当怀疑为PCI导致的AVS患者在以下情况时建议完善头颅MRI检查:1)伴有局灶神经功能缺损的症状或体征;2)表现为孤立性AVS的老年患者,合并多重血管病危险因素;3)孤立性AVS合并新近出现的头痛,尤其是枕部头痛;4)既往无梅尼埃病病史,有血管病危险因素的患者出现眩晕和耳聋急性发作;5)患者HIT阴性、有凝视性方向变化的眼震或严重步态不稳,甚至行走时会倾倒,合并血管病危险因素。尽管如此,MRI对后颅窝病变的检出率可能不如前循环病变,在发病24h内,后循环卒中的DWI存在20%的假阴性。常规MRI很少能够发现位于后颅窝的部分孤立性小梗死灶,因此,在早期MRI阴性的情况下,不应排除PCI,需结合患者的临床表现、眼动检查及动态MRI检查结果进行综合判断。

(插图3:MRI显示基底动脉闭塞;a-b:DWI可见脑桥上部的超急性缺血性改变;c:MRA可见中段基底动脉闭塞[箭];引自:Sparaco M, Ciolli L, Zini A. Posterior circulation ischemic stroke-a review part II: imaging and acute treatment. Neurol Sci. 2019 Oct;40(10):2007-2015.)
另外,最初使用CTA-SI描述的pc-ASPECTS也已应用于MRI-DWI以预测PCI的功能结局。评价标准为pc-AS-PECTS≥8分是良好预后的独立预测因子,而pc-ASPECTS<8分提示BA闭塞患者尽管再通但预后也不佳。
推荐意见:对于aPCI的患者,目前的影像学检查推荐首选MRI-DWI,配合pc-ASPECTS评分使用有助于评估PCI患者预后。MRI相关技术如MRA的实操性较差,但其有助于PCI的早期检测,DWI-PWI不匹配有助于对缺血半暗带的识别。CT在检测后颅窝急性缺血性卒中方面敏感性较低,一般可用于血管开通治疗之前排除脑出血可能,但CT相关影像学技术如CTA、CTP等在一些研究中均证明可提高PCI的检出率,结合pc-ASPECT评分使用还可作为PCI诊断和实际预后评估工具。此外,经颅超声相关技术如TC-CD、PMD等均被证明对于PCI具有额外的诊断价值,推荐有条件的医院可对患者病情进行综合评估后酌情考虑进行这些检查。
04
急性后循环缺血性卒中早期识别与评估的处理流程
为提高aPCI的早期识别,本共识制定了下述流程(图1),推荐从事院前卒中救治与院内卒中绿色通道建设工作的相关医务人员使用,旨为降低aPCI的误诊率和漏诊率。

05
结束语
后循环解剖结构复杂,患者临床表现多样且不典型,早期诊断困难。常规的急性脑卒中筛查工具多侧重于前循环而忽略了后循环,导致了aPCI临床诊疗中存在较高的误诊率和漏诊率。本共识建议,对于疑诊PCI患者,临床医生首先应该详细询问患者病史,密切关注患者临床表现,旨在从病史中获得PCI相关信息,筛查出PCI高危患者。在详细询问病史的基础上对患者进行常规体格检查,并注意观察患者是否存在后循环相关神经系统体征,一些神经系统体征阳性可作为早期诊断PCI的依据之一。对于主要表现为AVS的患者,可使用体格检查测试工具HINTS及HINTS PLUS,它们对于识别PCI具有较高的特异性和敏感性,可早期识别PCI患者,节约院前救治时间,有助于降低不良事件的发生风险。除体格检查外,卒中评分量表的使用对于评估患者病情严重程度及预后有一定的价值。本共识推荐ABCD评分系列、e-NIHSS量表用于PCI的早期识别与评估。
长期以来,影像学检查手段在急性脑卒中的早期识别阶段占据着举足轻重的地位。MRI-DWI,MRA,CTA,CTP等影像学检查工具对于PCI的早期识别均具有较高的敏感性,但临床医生应该充分了解各种影像学检查工具存在的局限性,并做出合理选择,以提高资源利用率。本共识特别指出,上述检测方法及工具对于PCI的早期识别并非尽善尽美,临床实践中应该把敏感高效的体格检查、PCI评估量表及影像学检查技术有机地结合起来,才能有效地提高PCI的早期识别率,降低不良事件的发生风险。
指南/共识制定专家委员会成员
曹学兵(华中科技大学同济医学院附属协和医院);张兆辉(武汉大学人民医院);彭小祥(湖北省第三人民医院);卜碧涛(华中科技大学同济医学院附属同济医院);刘煜敏(武汉大学中南医院);丁砚兵(湖北省中医院);周敬华(宜昌市中心人民医院);龚道恺(荆州市中心医院);常丽英(襄阳市中心医院);陈俊(湖北医药学院附属太和医院);李庭毅(孝感市中心医院);刘群会(湖北省恩施土家族苗族自治州中心医院);杨小华(天门市第一人民医院);杨文琼(国药东风总医院);经屏(武汉市中心医院);沈伟(武汉市第四医院);李俊(湖北省第三人民医院)
卒中与神经疾病 2021年4月第28卷第2期
作者:湖北省脑卒中防治中心质量控制组(曹学兵 张兆辉 彭小祥 执笔)
本文由“健康号”用户上传、授权发布,以上内容(含文字、图片、视频)不代表健康界立场。“健康号”系信息发布平台,仅提供信息存储服务,如有转载、侵权等任何问题,请联系健康界(jkh@hmkx.cn)处理。
相关知识
【专家共识】卒中后失语临床管理专家共识(2022)
【指南共识】老年围术期脑健康多学科专家共识·缺血性脑血管疾病
急性缺血性卒中血管内治疗中国指南 2023,要点全梳理
【指南共识】前庭神经炎诊治多学科专家共识
中国神经性贪食诊疗专家共识
贺茂林教授:后循环缺血的药物治疗现状
运动相关心血管事件风险的评估与监测中国专家共识
老年人慢性便秘的评估与处理专家共识
指南与共识:运动处方中国专家共识(2023)
前庭神经炎诊治多学科专家共识
网址: 神经指南:急性后循环缺血性卒中早期识别与评估专家共识 https://www.trfsz.com/newsview1303369.html
推荐资讯
- 1发朋友圈对老公彻底失望的心情 12775
- 2BMI体重指数计算公式是什么 11235
- 3补肾吃什么 补肾最佳食物推荐 11199
- 4性生活姿势有哪些 盘点夫妻性 10428
- 5BMI正常值范围一般是多少? 10137
- 6在线基础代谢率(BMR)计算 9652
- 7一边做饭一边躁狂怎么办 9138
- 8从出汗看健康 出汗透露你的健 9063
- 9早上怎么喝水最健康? 8613
- 10五大原因危害女性健康 如何保 7828
