微信里刚学过的病,门诊就见到了
看片子:35 岁男,IgA 肾病病史,意识模糊、视力模糊、癫痫发作 1 天。
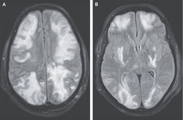
头部 T2 加权 MRI :皮质和皮质下白质出现血管源性水肿,信号强度较高(图 A 图 B 为不同轴向水平表现)
考虑什么诊断?如何治疗?

青年男,IgA 肾病病史,意识模糊、视力模糊、癫痫发作 1 天。
核磁皮质和皮质下白质出现血管源性水肿,考虑PRES,降压,脱水,抗癫痫等对症治疗,治疗原发病
35 岁男性患者,IgA 肾病病史,表现意识模糊、视力模糊、癫痫发作,核磁皮质和皮质下白质出现血管源性水肿,需要询问是否合并高血压和肾功能不全。
同意考虑PRES,同时排除肾性脑病,对症及对因治疗
35 岁男性,肾病病史,意识模糊、视力模糊、癫痫发作 1 天,起病急,磁共振提示皮质和皮质下血管源性弥漫水肿,如血压升高、腰穿压力高支持 PRES,降压、脱水、治疗原发病
9:30
考虑 PRES,患者有 IgA 肾病病史,出现意识模糊、视力模糊和癫痫发作。
MRI 显示皮质和皮质下白质血管源性水肿,信号强度较高,MRI 表现与 PRES 相符,该病常与肾脏疾病和高血压相关。
尚需排除高血压脑病。了解有无高血压病史。
肾病导致的高血压,引发颅内水肿?导致相应的神经系统症状。治疗原发病,免疫治疗 监测控制血压 脱水 对症
@所有人 公布答案:
患者有 IgA 肾病病史,首先考虑是否药物副作用。患者 2 周前开始接受环孢菌素治疗,可能引起「可逆性后部脑病综合征 (PRES)」,表现为血管源性水肿,符合 MRI 结果。
且停用环孢素一周后,患者症状和 MRI 异常基本消失如图,可以确诊为 PRES。

需要说明一下,PRES 虽然病名里带「后部」,主要在大脑后循环区域有典型影像学表现,也可能累及大脑皮层。
诊断主要依靠以下4点:
1、有已知 PRES 危险因素:高血压、子痫或先兆子痫、免疫抑制剂和细胞毒性药物应用史、自身免疫性疾病;
2、临床表现:头痛、癫痫发作、视觉障碍、不同程度意识障碍及精神异常;
3、影像学:颅内多灶性、累及顶枕叶为主,在 T2WI 或 FLAIR 高信号,DWI 血管源性水肿;
4、及时治疗(主要包括降压、减量或停用药物、控制癫痫),影像学病灶大致恢复至发病前的状态,临床症状大多改善或消失。但延误诊断和治疗可能导致永久性损伤。
分享一个前段时间收到的 PRES 合并 RCVS 的病人。
除了前面丁丁介绍的 PRES 的影像学表现以外,他的血管多个阶段的痉挛收缩形成类似串珠一样的表现。
这个病人的入院主诉是反复头痛 1 周,在住院期间自己的头痛症状完全缓解了就要求出院,出院前复查血管还是没有恢复的,但是查阅文献,这个血管一般是在3个月内恢复,等日后随访吧


相关知识
家门口也能看减肥门诊了!就在
家门口也能看减肥门诊了!就在→
“肥胖”病患者的专属门诊开诊了
方便给病人调整用药,减轻病人问诊负担 “老中医”主动添加两千余患者微信
月经过了11天没来,轻微呕吐,乳房胀痛,但是刚刚小便的...
医院里的遗传咨询门诊
【专病门诊】长春中医药大学附属医院肥胖专病门诊
警惕微信群里的减肥骗局
【7天打卡健身入门微信群】,检验你能否坚持的时候到了
面部微整形专科门诊
网址: 微信里刚学过的病,门诊就见到了 https://www.trfsz.com/newsview806776.html
推荐资讯
- 1发朋友圈对老公彻底失望的心情 12775
- 2BMI体重指数计算公式是什么 11235
- 3补肾吃什么 补肾最佳食物推荐 11199
- 4性生活姿势有哪些 盘点夫妻性 10428
- 5BMI正常值范围一般是多少? 10137
- 6在线基础代谢率(BMR)计算 9652
- 7一边做饭一边躁狂怎么办 9138
- 8从出汗看健康 出汗透露你的健 9063
- 9早上怎么喝水最健康? 8613
- 10五大原因危害女性健康 如何保 7828
