不可逆电穿孔 (IRE)技术:治疗前列腺癌
不可逆电穿孔 (IRE)技术:治疗前列腺癌
电穿孔是一种新颖的消融技术,有可能克服其他消融方法的主要缺点。它利用在两个或多个电极之间传播的电脉冲在细胞膜中形成“纳米孔”。如果施加的电流达到某个阈值,这些纳米孔就会变成永久性的,从而导致细胞死亡。不可逆电穿孔 (IRE) 已被证明可有效且安全地破坏肿瘤细胞,同时保留组织结构并最大限度地减少对血管和重要泌尿系统结构(如神经血管束)的损伤。这是一个优势,因为前列腺癌的常规手术和一些消融治疗方案可能会导致尿失禁、勃起功能障碍和肠道损伤的高发生率。这些副作用通常会损害前列腺癌患者的生活质量,并影响患者接受早期、潜在治愈性介入治疗的决定。限制对这些结构的损害的新疗法有可能改善患者的预后。第一项人体研究证明了 IRE 对前列腺癌消融的安全性,并显示出令人鼓舞的功能保存率。
关键词
1.不可逆电穿孔
2.前列腺癌的局部治疗
3.前列腺癌和电穿孔
4.电穿孔与前列腺癌
5.支持治疗类型的数据
6.成像相关性(所有模式)
不可逆电穿孔 (IRE)
电穿孔是一种技术,其中一次在两个电极之间传播的一系列双极电脉冲用于在细胞膜中产生“纳米孔”。这些孔允许分子进入细胞。虽然该过程可能是暂时的,但超过某个阈值时,纳米孔会变成永久性的,由于无法维持体内平衡而导致细胞死亡。这称为不可逆电穿孔 (IRE)(图16.1)。
图 16.1

可逆电穿孔 (RE) 和不可逆电穿孔 (IRE) 示意图
在可逆电穿孔 (RE) 的用途中,最重要的是电化学疗法,它允许更高剂量的化学治疗剂进入细胞。在 RE 手术期间发生 IRE 被认为是不希望的治疗副作用。然而,近年来,人们开始关注 IRE 作为一种肿瘤消融方式,从而开发出商用医疗设备 。IRE 已在体外、小型和大型动物实验以及对局灶性肝、胰腺、小盆腔、肾和肺肿瘤的 IRE 的多项安全性和有效性研究中显示有效消融肿瘤细胞 . 肿瘤消融实验表明,结缔组织结构可以保留,并且对相关血管、神经组织或其他重要结构的损伤很小。IRE 病变在消融组织和未消融组织之间显示出明显的分界线,而当前的热消融技术通常显示部分受损组织的过渡区,其中达到的温度不足以进行最终消融 。IRE 是否可以被认为是一种非热处理是值得评论的:这项技术的基本原理是前所未有地保存组织和解剖结构,如血管、神经和结缔基质。如果热效应很显着,那么大部分优势就会丧失,或者至少可以与热处理相媲美,后者在所传递的能量范围内隐约影响每个组织。2015 年,基于虚拟电阻模型和电焦耳效应模拟的纯理论方法暗示在 IRE 期间可能会出现显着的热效应。然而,人类前列腺标本 的组织学和直接温度测量均未显示出一些热效应或损害。在电极周围的聚丙烯酰胺凝胶介质中测得的温度上升到 33 °C,并且在猪肝脏的不同区域没有观察到温度变化。
设备
IRE 系统由两个主要组件组成,一个低能量直流 (LEDC) 发生器和针状电极。该系统是基于 IRE 原理的商用技术平台,旨在用于需要消融主要是细胞组织的应用。因此,潜在的应用非常广泛 。 该系统由 AngioDynamics, Inc. (Latham, NY) 以商品名 NanoKnife 制造和分销。 它已获得欧洲监管机构的批准,并符合多项国际公认标准。 该系统和探针已获美国食品和药物管理局批准上市,并带有欧洲细胞膜电穿孔的 CE 标志。 所有清除的组件都适用于软组织的手术消融。
前列腺癌中的IRE
前列腺癌治疗的主要副作用是失禁、勃起功能障碍、出血和肠损伤。勃起功能障碍的发生率相对较高(范围为 30-90%)是由于神经血管神经束受损和/或阴茎血流造成的。据报道,尿失禁的发生率高达 57%,这是由于远端尿道平滑肌括约肌、耻骨前列腺韧带和沿尿道长度的横纹肌受损 。IRE 已被证明比手术和其他消融技术具有优势,因为它可以保护周围组织和重要结构,例如血管和神经束(见下表)。因此,假设这种优势可能有助于减少或避免这些副作用 。
IRE 与当前消融治疗方案相比的优势
1.带有放射学引导的小针电极。
2.非常短的高压脉冲会在细胞膜中产生永久性孔隙。
3.快速治疗。
4.靶细胞迅速消失。
5.无残留空腔或变形。
6.几乎没有术后疼痛。
因此,当排除热消融和手术时,保留支撑和重要结构因此提供了一种替代方案。
程序
该程序在全身麻醉和深度肌肉松弛(箭毒诱导的肌肉阻滞)下使用罗库溴铵(剂量 0.5–1 mg/kg)进行。电脉冲在其他未固化的肌肉组织中引起强烈收缩。肌肉收缩引起的身体运动可能会改变超声或电极探头的位置。该程序是一种微创肿瘤治疗 。触发器可用于以心脏自动同步速率提供脉冲,以降低心律失常的风险。将患者置于伸展截石位并用无菌布覆盖,并插入经尿道 16-French Foley 导管(图 16.2 )。在经直肠超声 (TRUS) 图像引导下,通过使用短时高压直流电破坏细胞膜,治疗区域被破坏 。 图 16.2

插入超声的扩展截石位置 为了确定治疗区域,使用配备腔内探头的双平面 TRUS 系统在矢状和轴向上对前列腺进行可视化。必须确定前列腺的体积和形状,并将数据输入规划软件系统。19 号单极电极针在连续超声引导下使用近距离放射治疗网格经会阴插入(图 16.3 )。 图 16.3

在连续超声引导下使用近距离放射治疗网格经会阴插入 19 号单极电极针
技术
通过认知融合或基于软件的 MRI-US 融合系统合并活检结果、MRI 成像和实时超声来确定治疗量。最少需要两个单极电极,最多可以放置六个。由于目标病变的体积有限,大多数治疗是通过放置三到四个电极来进行的。 通过将隔离护套缩回必要的长度来暴露电极的活性部分。 插入所有电极后,在系统中输入相对距离以滴定能量输送。 默认情况下,提供 1500 伏特/厘米 x 90 微秒的直流脉冲。 为了获得 IRE,应在每对电极之间施加 30-40 安培 (A) 强度的直流电。这样,伏特/厘米和脉冲长度可以根据软件提供的反馈图进行调整。在滴定阶段之后,通过每个电极对之间的 90 个电脉冲启动治疗(图 16.4 )。 图 16.4

治疗后的反馈图;伏特和安培在 IRE 范围内
适应症
迄今为止,IRE 的局部或扩展前列腺消融治疗在区域指南中没有正式的适应症。在欧洲进行的病例由泌尿外科学会临床研究办公室 (CROES) [ 19 ] 协调的多中心登记处汇集。个人经验使我们能够将 IRE 用于前列腺癌治疗定义为临床显着的低中风险和小于 2 厘米的病变的良好选择,多参数磁共振成像 (mpMRI) 和靶向活检之间具有良好的相关性。 因此,PSA <20、Gleason 评分 ≤3 + 4 和单灶病灶尺寸 <2 cm 目前是我们用于局部 IRE 应用的参数。对于不热衷于主动监测或不愿接受治疗性治疗(如前列腺切除术和放射治疗)的潜在并发症的患者,IRE 可被视为一种微创治疗选择。 此外,当没有其他选择可行时,IRE 已被提议作为高危肿瘤放射复发疾病的抢救治疗 [ 15 ]。
技巧和窍门
在经验丰富的手中,该过程很快,从 Foley 导管插入到针头消融的平均持续时间为 30 分钟。需要一个固定臂作为探头支架,理想情况下是带有网格的近距离放射治疗经会阴步进器。通过术前直肠准备(灌肠)获得前列腺在轴向和矢状平面上的高质量超声成像。浪费时间的一个来源是手动排便或管理探头和直肠壁之间的气体。探头应在矢状面上倾斜 10°–15° 以跟随直肠角,并在不过度变形的情况下很好地观察前列腺的基底部和顶端部分。耻骨弓可以限制电极的极端前部定位。因此,延长截石位是使骨盆出口倾斜打开的良好选择。 目标病变的前列腺内定位不是患者选择的限制因素。IRE 可以治疗外周后部(靠近直肠壁或神经血管束)以及顶端(尿道括约肌)或过渡(尿道)的病变,因为对功能重要的相邻结构应该没有显着影响 [ 15 ]。
如果其他基于软件的融合系统不可用,则术中访问打印或屏幕上的 mpMRI 关键图像对于执行认知融合至关重要。最佳图像采用 T2 加权,放射科医生勾勒出目标病灶。欢迎任何靠近目标的标志物,例如前列腺内囊肿或腺瘤结节,以确认大部分时间在超声上完全不可见的病变位置。如果没有这样的帮助是可见的,更好的选择之一是测量病变与前列腺边缘的距离,并将这些测量值输入到超声屏幕上,以最大限度地提高准确的认知融合。针的位置和配置取决于病变位置和大小:对于 1 厘米的病变,三电极配置可以有效地覆盖目标体积。对于较大的病变,四针是最佳选择,根据目标体积的形状和位置,采用方形或菱形配置。均匀电穿孔几乎不能覆盖超过 2 厘米的距离,但是电极的“回拉”,而不改变它们的位置,可以帮助延长颅尾发育的病变。 在程序结束时,验证电反馈图表,并简单地拉动电极。通常不需要绷带,唯一的出血来自皮肤穿刺。根据我们的经验,迄今为止没有观察到局部感染(图 16.5 )。 图 16.5

测量治疗前的超声图像(左)、针到位和相对距离;治疗后(右)超声显示伪影主要是高压电流产生的电泳气体
结果
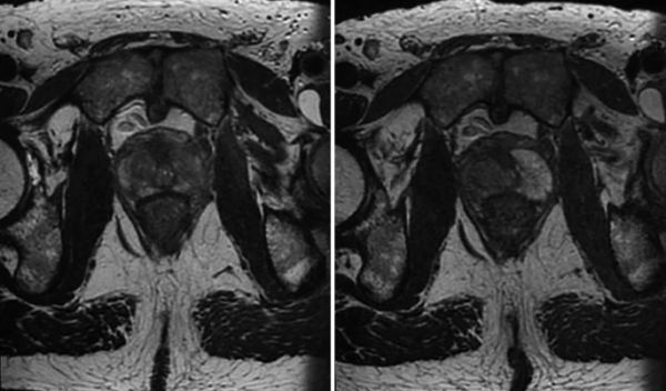
用于前列腺癌的 IRE 具有良好的耐受性,并且在手术前后的泌尿、肠道、身体和精神评分方面具有可比性。这与前列腺段消融无关 [ 20 , 21 ]。冈瑟等人。报告了超过 471 名患者接受局灶性局部疾病或高风险或抢救治疗的结果。没有观察到尿失禁,性功能下降是一种短暂的影响,12 个月后只有 3% 的残余勃起功能障碍。已经确定了基线时的性功能、患者年龄和结果之间的关系。最低的术前性状态对应于性保存方面较差的结果 [ 15 , 22 ]。 通过 PSA、影像学和再活检评估前列腺 IRE 的肿瘤学结果。对局灶性/偏侧切除术和全腺体切除术的最大回顾性研究发现 6 年的无复发生存率为 90%,这使得 IRE 与根治性前列腺切除术的结果相当 [ 15 ]。 成像最好通过对比增强超声或 MRI 进行,与前列腺切除标本相比,这两种技术都可以可靠地估计消融体积和位置 [ 23 ](图 16.6 和 16.7 )。 图 16.6

IRE 前(左)和 6 周后(右)前列腺右后叶的 MRI 图像。MRI 显示在目标体积部位充满液体的空腔。T2 加权图像 图 16.7

IRE 前(左)和 6 周后(右)前列腺右后叶的 MRI 图像。靶区体积大,右叶缩小。T2 加权图像
尼尔等人发表了对两名接受 IRE 手术的患者的研究结果。患者年龄分别为 64 岁和 57 岁,Gleason 评分分别为 7 和 6,PSA 水平分别为 5.4 和 4.3 ng/ml [ 24 ]。两名患者都接受了 IRE 电脉冲传输,并使用在原位长达 10 天的经尿道导管出院。两名患者在手术后都出现轻度血尿,但在 IRE 后恢复,没有任何其他严重的不良事件。他们的前列腺切除术在 IRE 后 3 或 4 周进行,没有并发症。组织学显示电极周围有组织坏死区域,所有这些区域都包含在健康的前列腺实质内。在坏死病灶周围观察到不同程度的反应性基质纤维化和前列腺导管上皮衬里的再生变化。存在炎症浸润,而在出血边缘附近发现鳞状化生和含铁血黄素沉积。3分别用于患者试验一和二。 瓦莱里奥等人。提出了一项关于 IRE 在前列腺癌局部治疗中的毒性特征的研究 [ 25 ],其中 45 名患者出现 1-2 级并发症。除了两名接受放射复发疾病治疗的需要切除坏死组织的抢救患者外,没有记录到严重的毒性。最常见的泌尿系统并发症是持续性排尿困难和持续性碎屑血尿。6 个月后的 PSA 为 3.2 ng/ml (0.04-26)。总体而言,45 名患者中有 8 名需要进行二次局部治疗。 截至 2019 年 5 月的文献回顾发现了 8 项回顾性临床研究 共有 699 份患者报告,大部分是关于小系列的。最大的临床研究来自 Guenther,报告了 471 例临床病例的经验,并进行了 6 年的随访。结果的评估是异质的,但功能和肿瘤学方面都被考虑在内。在所有情况下都观察到 PSA 降低,与消融体积成正比。主要通过 MRI 进行的成像显示治疗区域缩小,通常在前列腺中形成空腔。始终保持节制,排尿功能通常只是轻微和暂时的受损。勃起功能似乎与基线高度相关 。
结论
IRE 是治疗原发性或复发性前列腺癌的一种很有前景的局部治疗选择。该技术需要准确的患者选择以及与 MRI 放射科医生的密切合作。虽然它对保护性功能和避免长期泌尿系统疾病具有吸引力,但仍处于研究阶段。
本文由“健康号”用户上传、授权发布,以上内容(含文字、图片、视频)不代表健康界立场。“健康号”系信息发布平台,仅提供信息存储服务,如有转载、侵权等任何问题,请联系健康界(jkh@hmkx.cn)处理。
相关知识
治疗针孔仅1mm,生活质量更高!华西泌尿外科用不可逆电穿孔技术治疗前列腺癌!
前列腺癌的治疗方法
西院泌尿外科成功完成三孔法3D腹腔镜前列腺癌根治手术
一孔去癌建乳房——郑州大学第三附属医院乳腺二科成功开展腋窝单入路非溶脂「华西逆序法」腔镜乳腺癌重建手术
宫颈癌电疗化疗时将直肠处离肝门6、7公分灼伤穿孔能治吗?
电生理技术对前列腺炎
前列腺癌
火针能治疗前列腺癌吗
前列腺增生微创手术,前列腺治疗新选择?医生来科普
前列腺癌GS3+3=6是否适合根治手术
网址: 不可逆电穿孔 (IRE)技术:治疗前列腺癌 https://www.trfsz.com/newsview1417987.html
推荐资讯
- 1发朋友圈对老公彻底失望的心情 12775
- 2BMI体重指数计算公式是什么 11235
- 3补肾吃什么 补肾最佳食物推荐 11199
- 4性生活姿势有哪些 盘点夫妻性 10428
- 5BMI正常值范围一般是多少? 10137
- 6在线基础代谢率(BMR)计算 9652
- 7一边做饭一边躁狂怎么办 9138
- 8从出汗看健康 出汗透露你的健 9063
- 9早上怎么喝水最健康? 8613
- 10五大原因危害女性健康 如何保 7828
