热点 - 资讯
易胖体质逆袭指南:健康生活助你瘦身成功
2025年03月19日 12:20
夜间盗汗是怎么回事 生活中常用的偏方都有哪些
2025年03月19日 09:04
又美又瘦又充满正能量感恩瑜伽努力,加油好好生活好好练瑜伽做自己喜欢的样子
2025年03月19日 08:04
8个全身照拍摄技巧,日常生活照这样拍,显高显瘦还很漂亮
2025年03月19日 07:16
春季季节性疾病高发,打喷嚏、口腔溃疡仲景知柏地黄丸对症调理
2025年03月18日 18:06
益丰大药房联合华润三九开展全国性家庭安全用药公益活动
2025年03月18日 14:58
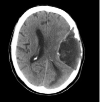
老年男性头痛,颅内发现巨大占位,居然没有其他症状?
2025年03月18日 14:18
比熬夜更伤肝的 3 件事,你可能每天都在做
2025年03月18日 14:08
突发!0.22 元/支集采药品被叫停
2025年03月18日 14:08
润致远·曜新生 润曜国际首次亮相上海南北汇-第七届乳腺肿瘤论坛
2025年03月18日 11:26
“世界新、湖北造”乳癌早筛原创技术亮相五湖健康大会
2025年03月18日 09:42
热议!153 家医药机构解除医保,该如何看待?
2025年03月17日 22:52
中药变“毒药”,伤肾还致癌!提醒:3种中药别当补品用
2025年03月17日 20:14
关注哪些细节能提升白癜风治疗成功率——到专业医院能系统治疗
2025年03月17日 16:00
17 岁患者突发意识障碍,经验性抗菌治疗均无效…怎么诊断?
2025年03月17日 15:21
发现往往已是晚期,一年手术2000多台的主任医师:没这么简单
2025年03月17日 13:21
云太医武汉分院(厚朴中医):以心为秤,称量健康的分量
2025年03月17日 11:52
2024年腾讯微保女性理赔数据出炉:35~40岁为女性理赔集中年龄段
2025年03月17日 11:52
这味零食还能入药,上调心脑,下治便秘,中养肝肺,你却可能不知道
2025年03月16日 19:05
年轻小伙突然说不出话 1 小时,医生却说:不用治
2025年03月16日 14:29
- 1发朋友圈对老公彻底失望的心情 12775
- 2BMI体重指数计算公式是什么 11235
- 3补肾吃什么 补肾最佳食物推荐 11199
- 4性生活姿势有哪些 盘点夫妻性 10428
- 5BMI正常值范围一般是多少? 10137
- 6在线基础代谢率(BMR)计算 9652
- 7一边做饭一边躁狂怎么办 9138
- 8从出汗看健康 出汗透露你的健 9063
- 9早上怎么喝水最健康? 8613
- 10五大原因危害女性健康 如何保 7828
资讯热点排名
资讯热点
